どんな歯並びも
費用は、69万円
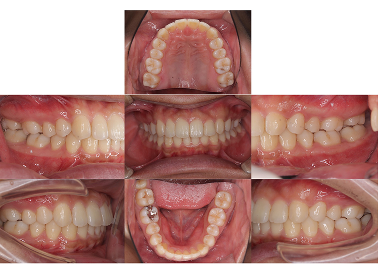
インビザラインでは、マウスピースの装着を続けることで少しずつ歯が動いて理想的な歯並びになっていきますので、もともとの歯並びの状態が複雑なほど、治療期間と使用するマウスピースの枚数は増えてしまいます。
使用するマウスピースの枚数が増えれば増えるほど、全体でかかる費用も増える、というのが一般的な歯科医院での費用システムです。
一方、池袋の歯医者つのり歯科では、東京都内では珍しい費用システムを採用しており、マウスピースの枚数や治療期間に関わらず、同じ費用の69万円で無制限の矯正治療が可能です。ホームページで格安費用をアピールしている医院でよくある、インビザライン矯正を開始してみたらいつのまにか最初に提示されていた金額よりも大幅に費用が膨らんでいたというトラブルも、当院ではあり得ません。




























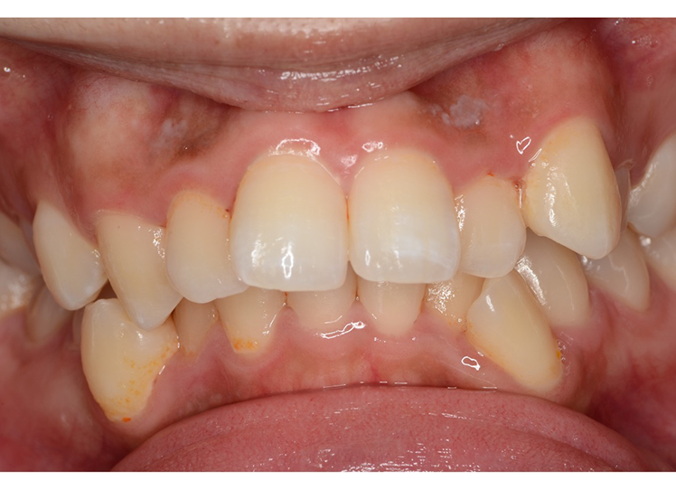
出っ歯
受け口
すきっ歯
口が閉じない
でこぼこ
深いかみ合わせ

