当院での親知らずの抜歯症例
最短1分、池袋で
親知らずの抜歯
親知らずの抜歯が怖くて
決断できない方へ
- 抜歯が痛そうで怖い
- 長時間の抜歯が怖い
- 抜歯後の腫れが怖い
- 長引く痛みが怖い
- 抜歯後の後遺症が怖い
他院で親知らずの抜歯を勧められ、
ネットで色々調べてみると怖くなってしまった
という患者さまが毎日来院されています。
特に、抜歯中の痛みや、抜歯後の腫れや痛み・後遺症についてネット上にはたくさんの書き込みがありますので、患者さまの不安は無理もありません。
池袋の歯医者つのり歯科では、抜歯が怖いという患者さまには、まずは丁寧に時間をかけてお話を伺い、十分に説明をすることから始めます。
「抜歯をしない」という
選択もあります
親知らずは、ほとんどの歯科医院で抜歯を勧められますが、全ての親知らずを抜歯しなければいけないかというと、必ずしもそうではありません。親知らずの生え方によって、歯磨きがしづらくて、体力が落ちて免疫力が下がった時に腫れるケースが多いのですが、上手な磨き方を指導して丁寧にセルフケアすることで、腫れづらくなることもあります。
当院では、歯茎のプロフェッショナルである歯周病専門医である院長が、本当に抜歯が必要なのか、というところから診査・診断をしますので、お気軽にご相談ください。
怖くない親知らずの抜歯
CTによる診断
当院には歯科用CTを完備しております。特に下側の親知らずは太い神経などが集まっているため、正確な見極めが必要となります。
徹底した痛みへの配慮
当院は抜歯前に表面麻酔を3~5分し、更に浸潤麻酔をしてからもしっかりと時間をかけており、麻酔だけで約15分ほどの時間を確保しております。
最短1分の抜歯スピード
抜歯にかかる時間が長ければ長いほど、術後の痛みや腫れがひどくなる可能性があります。当院では簡単なケースであれば、最短1分で抜歯が可能です。また、横向きに埋まった難しいケースの場合でもほとんどが30分以内に完了します。
抜歯後について
丁寧な説明
親知らずを抜歯した後は個人差がありますが、痛みや腫れがあります。日常生活で気をつけて頂く点をきちんとご説明し、腫れや出血が最小限になるよう患者さまの不安がなくなるまで、丁寧にご説明します。
抜歯しないという選択肢
生え方や周りの歯への影響などが心配ない場合には、抜歯をしなくても問題ない場合があります。患者さまのご要望を踏まえて、最適な診断をします。
他院の親知らず抜歯
との違い
難しい親知らずの
抜歯も可能
外科処置に精通した歯周病専門医の院長が全ての患者さまの治療を行います。他院で断られてしまった横向きで埋まっている親知らずなども当院では抜歯が可能です。
複数本の同時抜歯が可能
親知らずの抜歯をすると反対側の歯で噛むことになるため、左右同時に抜歯する事ができませんが、片側の上下であれば同時に抜歯が可能なので、ご希望の場合にはご相談ください。
歯周病専門医による
診査診断
親知らずは歯茎の細菌感染によって強い腫れと痛みがでます。歯周病専門医は歯茎(歯肉)の治療のプロフェッショナルです。原因、症状に応じた適切な方法をご提案いたします。
マウスピース矯正
(インビザライン)と
親知らずの抜歯
多くの場合、歯の矯正を始める前に親知らずの抜歯が必要になります。
池袋駅東口つのり歯科では、数多くのマウスピース矯正(インビザライン)実績があるため、歯並びの矯正を前提とした親知らずの抜歯には熟練しています。
矯正専門医院にかかっていて「他の医院で親知らずの抜歯をしてもらってください」と言われた方や、一般の歯科医院でも「難しい親知らずの抜歯なので、大学病院をご紹介します」と言われるケースでも、
当院では全て対応が可能なので、お気軽にご相談ください。
親知らず抜歯の流れ
(ご相談のみの場合)
ご相談・検査
はじめに患者さまのお悩み、抜歯したいか等のご不安を時間をかけてお伺いします。その後、お口の中を状態をレントゲン写真で確認します。下顎の骨の中には太い神経や血管などが通っています。必要に応じて、3次元撮影ができるCTを使用し、位置関係を精密に調べます。
抜歯についての
ご説明
検査結果に基づいて、抜歯の方法や所要時間、抜歯後の注意点などを丁寧にご説明します。
応急処置
炎症が強い場合には当日の抜歯が難しいので、炎症を抑える薬を処方します。また、親知らずの状態に応じて歯石除去などを行います。
親知らず抜歯の費用
親知らずの抜歯は健康保険が適用されます。
| 目安金額(3割負担) | 5,000円〜10,000円 |
|---|
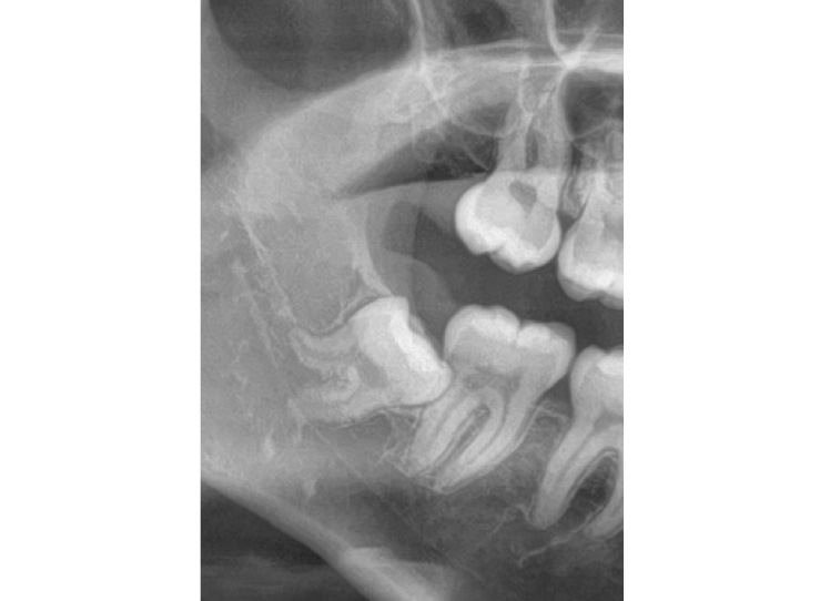
親知らず抜歯症例
case1
右下の奥歯が腫れて痛い、といって来院された20代男性の患者さまです。患者さま本人は、あまり親知らずを意識していなかったようですが、横向き・半分歯茎に埋まった状態の親知らずの周りの歯茎が炎症を起こしていました。初診では炎症が強かったため抜歯すべきでないと判断し、抗生物質を処方いたしました。2回目の来院の際に抜歯(所要時間:約20分)を行いました。
抜歯前
抜歯後
case2
右下の親知らずが、腫れを繰り返すということで来院された30代女性の患者さまです。親知らずが少し頭を出している状態で埋まっているケースでは、歯磨きが難しく汚れが溜まりやすいので、感染がしやすい状態です。普段元気な時は良いのですが、疲れなどで体力が落ちた時に腫れて、しばらくするとおさまって、を繰り返すことがよくあります。こちらの患者さまのケースでは、初診当日の腫れはなかったため、即日抜歯(所要時間:約15分)を行いました。
抜歯前
抜歯後
case3
抜歯前
抜歯後
case4
抜歯前
抜歯後
case5
抜歯前
抜歯後
親知らず抜歯の相談受付
痛み・腫れの少ない
親知らず抜歯
親知らずの抜歯というと痛い・腫れるというイメージがあるかと思います。当院では徹底して麻酔を効かせ、抜歯の際には出来る限り時間をかけずに行うことにより、 最小限になるよう努めております。
親知らず抜歯の相談へ診療メニュー
幅広い診療に対応
一人ひとりの患者様に時間をかけて親身に診療。
安心・安全・痛くない。丁寧に納得のいく説明。
池袋駅東⼝徒歩1分の⻭医者【保険診療・急患対応】
お支払い方法について
初診料:保険適用・約3,000円〜4,000円
※お支払いは基本的には現金のみになります。
初診時には3,000円弱かかりますので現金を
ご持参のうえご来院ください。

















