インプラント無料相談
セカンドオピニオン
受付中
歯周病で歯を失ってしまった方、他院でインプラントが難しいと言われた方は、東京でも数少ない歯周病専門医の池袋の歯医者つのり歯科へ無料相談にお越しください。
既にインプラント治療を受けた方で、ぐらぐらする、膿が出る、などの症状のある方もお早めにご相談ください。
インプラント無料相談を予約
歯周病で
歯を失った方
の
インプラント
歯周病専門医とは、進行してしまった中等度や重度の歯周病を専門的に診査・診断・治療を行うプロフェッショナルで、池袋の歯医者つのり歯科の院長は、歯周病専門医として東京都内の数多くの歯周病患者の治療を行ってきました。
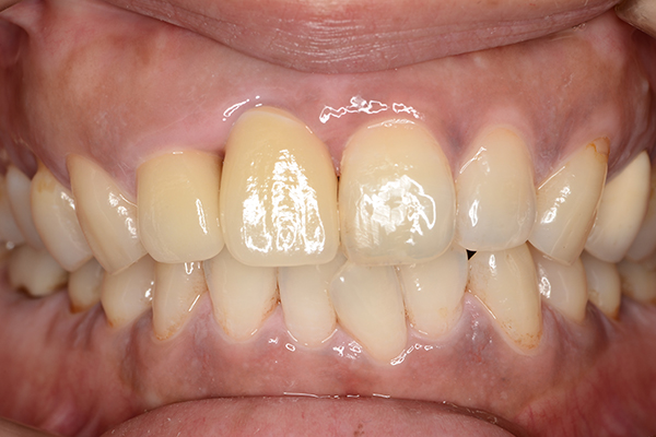
歯を失う原因は複数ありますが、最も多いのが歯周病によって歯を失うケースです。
歯周病が進行し、抜歯をするべきかどうかの正確な判断をするのは歯周病専門医の得意とする仕事であり、その後のインプラント治療も歯周病専門医が担うべき治療です。
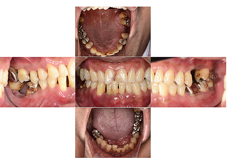
歯周病で歯を失ってしまった方の場合、埋入したインプラントが歯周病に感染する「インプラント周囲炎」のリスクがあります。
インプラント治療の前に、徹底的にお口全体の歯周病のコントロールを行ったうえ、インプラント埋入後も丁寧なメインテナンスが必要になります。
患者さまそれぞれに様々なお悩みがあるかと思います。
インプラントの治療も患者さまの口腔内状況により非常に様々な対処があります。
当院では専門ドクターによる高水準の治療をご提案いたしますので、まずはお気軽にご相談ください。
遺伝的要因や、歯並び・噛み合わせ、生活習慣も含めて、一度、歯周病で歯を失った方は、
また歯周病で歯を失う、もしくはインプラント周囲炎を起こす確率も高くなります。
噛む機能を回復するインプラント治療は素晴らしい選択肢ですが、誰がインプラント治療をするかが、
インプラントが長持ちするかどうかに大きく影響します。
歯周病で歯を失ってしまった方、他院でインプラントが難しいと言われた方は、東京でも数少ない歯周病専門医の池袋の歯医者つのり歯科へ無料相談にお越しください。
既にインプラント治療を受けた方で、ぐらぐらする、膿が出る、などの症状のある方もお早めにご相談ください。
インプラント無料相談を予約インプラント治療は、インプラントを埋入する手術そのものの技術に注目されがちですが、前提として事前の準備、すなわち正確な診査・診断と3次元での治療計画が最も重要です。当院では、3次元シミュレーションにより、最終的に装着する人工歯が他の歯としっかりと噛み合う最適な位置を決定し、その位置にインプラントを寸分違わず埋入するためのインプラントガイドを作成して、難症例にも対応いたします。
奥歯(臼歯部)で、顎の骨が十分であればインプラントは簡単です。しかし、骨が少ない前歯にインプラントをするケースでは、著しく難易度が高くなります。
どうしても前歯は目立つので、患者さんの見た目のこだわりも強く、歯茎のラインや左右の対称性も含めた完璧な見た目が求められます。
このようなケースでは、患者さんの要求を満たすのは困難なため、クレームになるリスクを回避したい歯科医師は、インプラント治療ではなくブリッジでの治療を勧めることが多くなります。池袋駅東口つのり歯科では、前歯のインプラントも積極的に行い、多くの患者さんにご満足いただいております。
きちんと埋入して固定できるだけの骨の高さと厚みがなければ、インプラント治療は不可能です。一方で、歯周病などで歯を失ってしまった場所では、時間の経過とともに歯を支えていた骨(歯槽骨)の高さがどんどん低くなり、厚みもなくなってしまいます。
その結果、多くの歯科医院では、インプラントを固定する骨が足りない場合、「あなたは骨がないので、インプラント治療はできません。ブリッジか入れ歯にしましょう。」と言われてしまいます。池袋駅東口つのり歯科では、顎の骨を再生してそこにインプラントを埋入する高度な技術にも対応しており、他医院でインプラントできないと言われた多くの患者さんにインプラント治療を提供しております。
インプラント治療は簡単ではありますが「手術」を伴いますので、痛いのではないかと恐怖感をお持ちの患者さんもたくさんいらっしゃいます。そんな方のために、当院では、静脈内鎮静法という麻酔に対応しております。
麻酔に精通した担当医の管理のもと、点滴による麻酔を行って、意識はうっすらとありウトウトしたような状態が続き、気がついたら治療が終わっているというもので、皆さん「もう終わったの?」と口をそろえて驚かれます。この静脈内鎮静法は、最近では胃や大腸の内視鏡検査でも広く使われていて、全く苦痛なく検査を受けられるようになっています。
先ほどもお伝えしましたが、歯周病が原因で歯を失った方の場合、いわゆるインプラントの歯周病である「インプラント周囲炎」のリスクがあります。治療前の歯周病治療、歯周病原菌のコントロールが不十分だったり、インプラント治療後のメインテナンスがうまくいっていないケースでは、このインプラント周囲炎にかかり、インプラントがぐらぐらしたり、抜けてしまったり、排膿(歯茎から膿が出て臭いがする)することがあります。
池袋駅東口つのり歯科では、このような難しいケースでも歯周病専門医の院長が丁寧に診査・診断し、適切な治療プランを提案しています。
| ・山口県立山口高等学校 卒業 | |
|---|---|
| ・日本大学歯学部 卒業 | |
| ・日本大学大学院歯学研究科 応用口腔科学分野歯周病学 卒業 |
|
| ・日本歯周病学会専門医 取得 | |
| ・総務省内歯科室 非常勤医 | |
| ・医療法人隆美会 川口歯科診療所 勤務 | |
| ・医療法人みやび会 高野歯科医院 勤務 | |
| ・池袋駅東口つのり歯科 開業 |
患者さまそれぞれに様々なお悩みがあるかと思います。
インプラントの治療も患者さまの口腔内状況により非常に様々な対処があります。
当院では専門ドクターによる高水準の治療をご提案いたしますので、まずはお気軽にご相談ください。
歯周病で歯を失ってしまった方、他院でインプラントが難しいと言われた方は、東京でも数少ない歯周病専門医の池袋の歯医者つのり歯科へ無料相談にお越しください。
既にインプラント治療を受けた方で、ぐらぐらする、膿が出る、などの症状のある方もお早めにご相談ください。
インプラント無料相談を予約
| インプラント初回相談 | 無料 |
|---|---|
| ハイオッセン社製 (ガイドサージェリー,補綴込み) | ¥418,000(5年保証) |
| ストローマン社製 (ガイドサージェリー,補綴込み) | ¥495,000(5年保証) |
| ネオデント社製 (ガイドサージェリー,補綴込み) | ¥495,000(5年保証) |
| GBR | ¥44,000~¥220,000 |
| ソケットリフト(人工骨込み) | ¥66,000 |
| サイナスリフト(人工骨込み) | ¥220,000 |
| CTG | ¥33,000 |
| FGG | ¥44,000 |
| インプラント仮歯 | ¥22,000 |
| 静脈内鎮静費用 | ¥66,000~ |
| 内服鎮静費用 | ¥8,800 |
| インプラント周囲炎治療 | ¥82,500~ |
| インプラントフル (手術費用及び補綴費用込み) | 片顎¥2,970,000 |
| インプラント除去 | ¥44,000 |
| ロケーターアバットメント | ¥88,000 |
患者さまそれぞれに様々なお悩みがあるかと思います。
インプラントの治療も患者さまの口腔内状況により非常に様々な対処があります。
当院では専門ドクターによる高水準の治療をご提案いたしますので、まずはお気軽にご相談ください。
| 主訴 | 前歯を入れたい 2年前に他院にて抜歯、コロナの影響もあったため、通院できなくなった。 |
|---|---|
| 治療内容 | 前歯の破折および虫歯により予後不良を認めたため、前歯のインプラント治療にて対応正常な咬合関係の確立のため、下の前歯のインビザライン も併用 |
| 期間 | 3ヶ月 |
| 費用 | ¥385,000(税込)デンタルローン 月々3500円(120回払い) |
| 考えられるリスク | 一時的な痛みや知覚過敏、腫れ |
| 主訴 | 前歯が虫歯になっている |
|---|---|
| 治療内容 | 左右犬歯相当部が乳歯となっており、乳歯が虫歯により予後不良のため抜歯することとなった抜歯と同時にインプラント即時埋入、その日のうちに仮歯を入れることで、見た目も問題なく、生活していただいた。 |
| 期間 | 4ヶ月 |
| 費用 | ¥770,000(税込)(デンタルローン 月々6,800円(120回払い) インプラント2本セラミック含む |
| 考えられるリスク | 一時的な痛みや知覚過敏、腫れ |
| 主訴 | 前歯が腫れる |
|---|---|
| 治療内容 | 前歯が破折していたため、抜歯と診断。炎症がひどいため、抜歯後、1ヶ月後にインプラント手術。治癒期間中、片方の前歯の根管治療などを行い、セラミックを被せた |
| 期間 | 6ヶ月(治療期間中は仮歯を装着したため、見た目は全く問題ない状態で過ごしていただいた。) |
| 費用 | ¥660,000(税込)セミオーダーセラミックおよびインプラント 治療費、CTG費用(デンタルローン 120回払い:5,700円) |
| 考えられるリスク | 一時的な痛みや知覚過敏、腫れ |
| 主訴 | 事故で歯が折れた |
|---|---|
| 治療内容 | 前歯が破折していたため、抜歯と診断。炎症がひどいため、抜歯後、1ヶ月後にインプラント手術。治癒期間中、片方の前歯の根管治療などを行い、セラミックを被せた |
| 期間 | 6ヶ月(治療期間中は仮歯を装着したため、見た目は全く問題ない状態で過ごしていただいた。) |
| 費用 | ¥825,000(税込)(フルオーダーセラミックおよびインプラント治療費、CTG費用)デンタルローン 120回払い:7,200円 |
| 考えられるリスク | 一時的な痛みや知覚過敏、腫れ |
患者さまそれぞれに様々なお悩みがあるかと思います。
インプラントの治療も患者さまの口腔内状況により非常に様々な対処があります。
当院では専門ドクターによる高水準の治療をご提案いたしますので、まずはお気軽にご相談ください。
インプラント治療とは、歯が失われてしまった部分に人工の歯を埋入する治療のことです。
人工の歯根を顎の骨の中に埋め込み、その上に人工の歯を固定します。
入れ歯やブリッジと異なり隣の歯を削って負担をかけることもありませんし、自分の歯と同じような感覚で強い力で違和感なく噛むことができるようになります。
また、下顎の総入れ歯が不安定で動いてしまう方や、上顎の総入れ歯で口蓋が無いものを使用される場合などには、インプラントによって入れ歯を固定する方法も有効です。
歯を虫歯や歯周病、事故など何らかの理由で失ってしまった自分の歯の代わりに、歯を補う治療方法は、入れ歯、ブリッジ、インプラントの3つとなっております。
| 審美性 | × 金具が見えることが多い |
|---|---|
| 他の歯への影響 | × バネにより他の歯への負担 |
| 咬合力 | × 天然歯のときの20%まで落ちると言われている |
| 違和感 | × 慣れるまで時間がかかる |
| 適応症例 | ◎ 歯がなくてもできる |
| 手術 | ○ なし |
| 治療期間 | △ 比較的短期間 |
| 審美性 | △ 保険適用のものだと銀歯になることが多い |
|---|---|
| 他の歯への影響 | × 前後の歯を削らなければならない |
| 咬合力 | ○ 痛みなどなければ、ほぼ天然歯と変わらない |
| 違和感 | ○ ほぼ天然歯と変わらない |
| 適応症例 | ◎ ブリッジをかけるための歯がないとできないことがある |
| 手術 | △ ある場合もある |
| 治療期間 | △ 比較的短時間 |
| 審美性 | ○ 当院ではすべてセラミックで対応 |
|---|---|
| 他の歯への影響 | ○ 失った部位のみで対応可能 |
| 咬合力 | ○ 天然歯と同様に噛める |
| 違和感 | ◎ 天然歯とかわらない |
| 適応症例 | ○ できない症例もある |
| 手術 | × 必要 |
| 治療期間 | × 2ヶ月から1年 |
主に、歯は、歯と歯槽骨との間に歯根膜という靭帯があります。その靭帯がクッションの役割をするため、噛むことで沈み込みが起きたり、矯正治療のように歯を動かすことができます。 インプラントは、歯槽骨に直接くっつくため、歯のような噛むことによる沈み込みやインプラントを動かすことはできません。
インプラントを入れることで、噛み心地がいいです。(なんでも噛める)
見た目が自然安定性にも優れています。(10年予後が他と比較して良い)
インプラント治療を行うことで、歯を失ったことによるあごの骨の量の減少を防ぐことができます。
(いつまでも若々しい顔立ちを維持することができます。)
昨今、歯科分野にて、審美性への要望が、SNSなどの普及により増えております。
池袋駅東口つのり歯科では、審美治療も多数実績を備えておりますが、懸念している点もあります。
前歯のみのセラミックなどの治療を受けて、若い方なども含め奥歯がない状態などよく見受けられます。
見た目はいいですが、だいたいの場合いずれ、前歯を失うこととなります。
前歯の役目は、食べ物を噛み切ること。
奥歯の役目は、噛み切った食べ物を、すりつぶし咀嚼すること。
奥歯は、歯の解剖学的にも、根っこが2つや3つあり、横に大きい歯となります。
極端な例ですが、このような経過をたどっている人は多数います。
奥歯で普通に噛むことができるため、前歯の負担が少なくなり、前歯の見た目や前歯を失うリスクを減らすことができます。
しっかり噛むことがインプラントであればできるので、認知症や全身疾患への影響を少なくできます。
奥歯を1つ失うことで、咀嚼するときに、顎の偏位などが起こるため、噛み合わせの不調和による、肩こりや頭痛、顔の歪み、姿勢の歪みを生じるリスクがあります。インプラントにより噛み合わせを調整し体全体のバランスが整えられます。
患者さまそれぞれに様々なお悩みがあるかと思います。
インプラントの治療も患者さまの口腔内状況により非常に様々な対処があります。
当院では専門ドクターによる高水準の治療をご提案いたしますので、まずはお気軽にご相談ください。
インプラント治療とは、歯が失われてしまった部分に人工の歯を埋入する治療のことです。 人工の歯根を顎の骨の中に埋め込み、その上に人工の歯を固定します。
歯を虫歯や歯周病、事故など何らかの理由で失ってしまった自分の歯の代わりに、歯を補う治療方法は、入れ歯、ブリッジ、インプラントの3つとなっております。
主に、歯は、歯と歯槽骨との間に歯根膜という靭帯があります。その靭帯がクッションの役割をするため、噛むことで沈み込みが起きたり、矯正治療のように歯を動かすことができます。
インプラントは、歯槽骨に直接くっつくため、歯のような噛むことによる沈み込みやインプラントを動かすことはできません。
1. 前歯に正常な噛む力を負担することができる
2.しっかり噛むことで、全身への影響を少なくできる
3.顔のバランスを整えることができる
【デメリット】
1.保険適応外である
2.治療期間が、他の治療法より
長くなる
3.骨が足らない場合、追加の手術が必要となることがある
【メリット】
1.前歯に正常な噛む力を負担することができる
2.しっかり噛むことで、全身への影響を少なくできる
3.顔のバランスを整えることができる
【デメリット】
1.保険適応外である
2.治療期間が、他の治療法より
長くなる
3.骨が足らない場合、追加の手術が必要となることがある
患者さまそれぞれに様々なお悩みがあるかと思います。
インプラントの治療も患者さまの口腔内状況により非常に様々な対処があります。
当院では専門ドクターによる高水準の治療をご提案いたしますので、まずはお気軽にご相談ください。
歯周病で歯を失ってしまった方、他院でインプラントが難しいと言われた方は、東京でも数少ない歯周病専門医の池袋の歯医者つのり歯科へ無料相談にお越しください。
既にインプラント治療を受けた方で、ぐらぐらする、膿が出る、などの症状のある方もお早めにご相談ください。
インプラント無料相談を予約
〒170-0013
東京都豊島区東池袋1-3-5 池袋伊藤ビル6階
【JR池袋駅東口から徒歩1分】
【西武池袋駅東口から徒歩1分】
【東武東上線池袋駅東口から徒歩1分】
【東京メトロ丸ノ内線、副都心線、
有楽町線池袋駅東口から徒歩1分】
インプラント 東京・池袋の上手い歯医者・名医|
池袋駅東口つのり歯科
ネット予約が埋まっていても、当日受診可能な場合が
ございますのでお電話ください。