【50代女性】前歯が欠けた、見た目をきれいにしたい
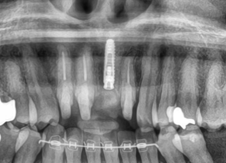
前歯が折れたため、インプラントにて治療。周りの歯の色調を合わせて自然な歯の入れを再現しました。
また、下の歯の歯並びも気にされていたので、ワイヤー矯正による部分矯正を行いました。
また、下の歯の歯並びも気にされていたので、ワイヤー矯正による部分矯正を行いました。
初診

治療後

初診

治療後

初診

治療後

性別:女性 / 年齢:50代
| 主訴 | 前歯がとれた、見た目をきれいにしたい |
|---|---|
| 期間 | 8か月 |
| 費用 | 総額¥1,320,000 |
| 治療内容 | ・セラミックブリッジ、インプラント、ワイヤー矯正による部分矯正治療。 ・前歯が折れたため、インプラントにて治療。周りの歯の色調を合わせて自然な歯の入れを再現しました。 また、下の歯の歯並びも気にされていたので、ワイヤー矯正による部分矯正を行いました。 |
| 治療に伴うリスク | ・長期間使用するうちに、インプラントや上部構造(クラウン)が破損する可能性があります。 ・強い噛み合わせや歯ぎしりがある場合、負担がかかりやすくなり、割れや欠けが発生する可能性があります。 |



















