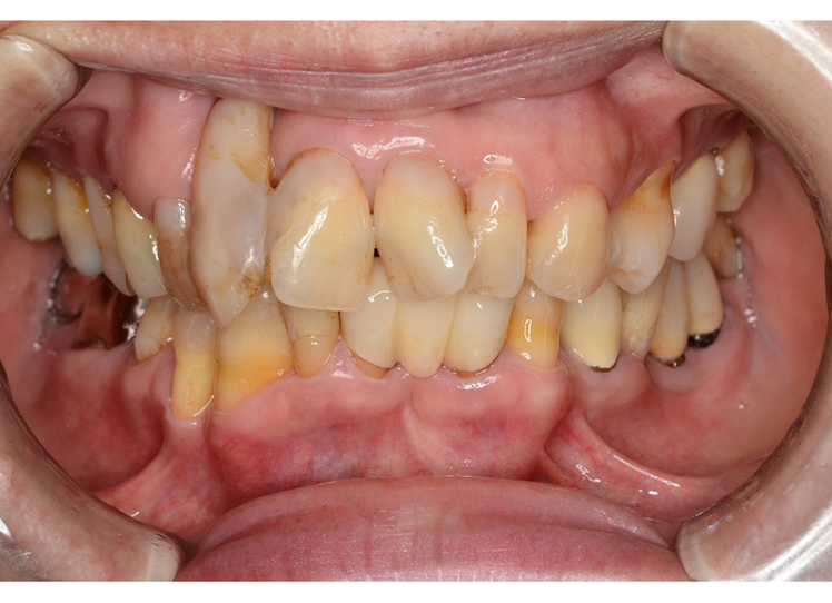
諦めないで!
当院では「歯がグラグラ」でも
キレイに治せます!
歯がグラグラでもキレイに治療できる
歯医者なら
池袋駅東口つのり歯科へ
池袋の歯医者つのり歯科では、さまざまな治療方法を提供し、患者さまの大切な歯を守っていきたいと思います。歯や口元でお困りのことがございましたら、まずはお気軽にご相談ください。
経歴
- ・山口県立山口高等学校 卒業
- ・日本大学歯学部 卒業
- ・日本大学大学院歯学研究科
応用口腔科学分野歯周病学 卒業 - ・日本歯周病学会専門医 取得
- ・総務省内歯科室 非常勤医
- ・医療法人隆美会
川口歯科診療所 勤務 - ・医療法人みやび会
高野歯科医院 勤務
参加学会等
- 日本歯周病学会
- 日本口腔インプラント学会
- 日本歯科保存学会
参加講習会
- ・EPIC
- ・日本インプラント臨床研究会
24時間ネット予約
受付しております
まずはお気軽にご相談ください。
歯周病について
歯周病の治療
「歯周病専門医」による歯周病の解説ページです。 当院には、歯茎の腫れや出血が比較的軽度な歯周病の方から、他医院で重度歯周病のため抜歯と言われてセカンドオピニオンに来られる方まで、ありとあらゆる歯周病患者さまが来院されています。
このページは、歯周病で悩んでいる多くの患者さまに、歯周病治療についての正しい知識を持ってもらうために、歯周病専門医である院長が歯周病の治療方法について解説したページです。
歯周病(歯槽膿漏)とは
歯周病は、歯を支える歯茎と骨(歯槽骨)の病気です。症状が進むと歯茎や歯槽骨が痩せて歯がグラグラと動揺する状態になり、放置していると歯が抜けてしまいます。
歯茎に問題を抱えている方は非常に多く、日本では10~20代前半で約7割、50代以降になると8割以上の人が歯周病を患っているとされています。
また、歯周病が“怖い病気”として周知されている理由の1つとして、初期の段階では痛みなどの自覚症状がほとんどないまま進行するケースが多い点にあります。本人が気づかないうちに歯周病の症状が進んでしまっている場合もあり、その特徴から「サイレント・ディジーズ=Silent Disease(静かなる病気/沈黙の病気)」とも呼ばれます。
歯周病と歯槽膿漏の違い
“歯周病”という言葉は、「歯肉炎」や「歯槽膿漏(歯周炎)」も含んだ一般的な総称となります。症状の進行度合いによって呼び方が変わります。
初期段階の歯周病を「歯肉炎」、症状が進むと「歯周炎」や「歯槽膿漏」と呼ばれます。また歯科の現場では、歯肉炎や歯槽膿漏(歯周炎)をまとめて歯周病と呼ぶことが多くあります。
24時間ネット予約
受付しております
まずはお気軽にご相談ください。
歯周病の原因
(メカニズム)とは
歯周病のメカニズム
歯周病は口の中の細菌による感染症の一種です。歯周病の原因となる菌が歯肉溝(歯と歯茎の境目)で増殖することにより歯周病を発症します。
歯周病菌は非常に種類が多く、約300種類にのぼるとされています。また、歯周病になる直接的な原因は口の中の細菌ですが、歯周病の症状を悪化させる原因としては、歯並びや噛み合わせ、さらに全身疾患や喫煙など様々な要因が深く関わっているケースが多くあります。
一般的に歯周病の主な原因として以下の項目が挙げられます。
歯周病の主な原因
プラーク(歯垢)
最も直接的な原因は「プラーク(歯垢)」です。テレビCMなどで耳にしたことのある方も多いのではないでしょうか。プラークとは、虫歯菌や歯周病菌をはじめとする様々な微生物の集合体で、プラーク1㎎のなかに約1億個の微生物が存在するといわれています。歯と歯肉の境目に磨き残しがあるとプラークが溜まり、歯周病菌が増殖することで歯肉の腫れといった初期症状を引き起こします。
歯石
歯石とは、プラーク(歯垢)が石灰化した石のような硬いかたまりです。磨き残した歯垢は2日間程度で歯石へと変わります。歯石になると通常の歯ブラシでは取り除くことができないため、歯科医院での専門的なクリーニングを受けて歯石を除去する必要があります。
全身的な疾患(糖尿病など)
身体の抵抗力が低下することで、歯周病を急速に悪化させることが報告されています。
喫煙(タバコ)
タバコを吸うことによる血流の悪化が、歯周病の進行を早めることが分かっています。プラークも歯に付着しやすくなり、さらに炎症が起きると治りにくくなります。
ストレスや生活習慣、
ホルモンバランスの変化など
日々の精神的なストレスや、偏った食生活、歯並びや噛み合わせ、また妊娠や、更年期など様々な要因が歯周病に関連していることが分かっています。
24時間ネット予約
受付しております
まずはお気軽にご相談ください。
歯周病の症状と診断
歯周病の症状
健康な歯茎の状態とは
健康な歯茎は明るいピンク色で歯肉がキュッと引き締まっています。また、歯と歯肉の間には溝(歯肉溝・歯周ポケット)があり、その溝の深さが口の中の健康状態を把握する上で非常に重要なポイントになります。
健康な歯茎の状態であれば、この歯周ポケットの深さは 3ミリ以内が目安。併せて、骨が失われた量(骨吸収)や、歯の動揺度(揺れ具合)によって歯周病の症状の進行具合を診断します。
軽度歯周病
(歯肉炎/
軽度の歯周炎)とは
歯周病の初期状態が「歯肉炎」です。歯肉が赤く腫れ、歯磨きの時に歯肉から出血する場合がありますが、セメント質、歯根膜、歯槽骨の破壊はまだ起こっていない状態です。また、初期症状の段階では痛みがないため、ご自身では気づけないケースが多くあります。歯肉炎の症状がさらに進行すると軽度歯周炎になります。
軽度歯周炎
歯周ポケットの深さが3~5mm程度となり、歯肉だけでなく歯を支える骨にまで炎症が起こっている状態です。また骨の吸収は歯根の長さの1/3より少なく、根分岐部病変(歯の根が分岐している部分の組織破壊)は生じていません。
歯周ポケットの中にプラークが入り込むことで歯根部分に歯石が形成され、より細菌の増殖しやすい環境となっていきます。ここから症状がさらに進行すると中等度歯周炎になります。
軽度歯周炎に
よく見られる自覚症状
- 歯茎が腫れる
- 歯磨きの時に歯茎
から血が出る - 起床時に口の中が
ネバネバする - 若干の骨の減少
歯肉炎・軽度歯周炎ともに、まだ痛みなどの自覚症状がほとんどないことから、自分が歯周病にかかっていることに気がつかない人も少なくありません。
中等度歯周病(中等度の
歯周炎)とは
歯周ポケットの深さが4~5mm程度となり、軽度歯周病の症状に加えて歯槽骨の破壊が進んでいる(歯を支える顎の骨が溶かされている)状態です。
歯周ポケットはより深くなり、歯肉の腫れによってさらに奥へと細菌が進入していくことで歯垢や歯石が一層溜まりやすくなります。また、歯肉の痛みや出血を伴うようになることから歯磨きなどのケアがしづらくなり、放置していると歯周病が更なる悪化の一途を辿ることとなります。
中等度歯周病に
よく見られる自覚症状
- 歯茎が腫れてブヨブヨとしてくる
- 歯茎から出血しやすくなる
- 歯がグラつくようになる
- 固いものを噛むときに違和感や痛みがある
- 歯が長くなったように見える(歯茎の下がり)
- 歯周ポケットから膿が出ることがある
- 口臭を強く感じようになる
歯周病によって失った歯や顎の骨は、治療を行なってもそのものが元の状態に戻るわけではありません。後悔されることのないように、お早めに私たち歯科の専門家にご相談ください。
重度歯周病
(重度歯周炎)とは
歯周ポケットの深さが6~7mm以上となり、歯を支える顎の骨は大幅に溶かされてしまい、歯が抜けてしまうリスクが高まっている状態です。
重度歯周病になると歯周組織の著しい破壊が進みます。歯を支えている骨は2/3以上が溶け、支えを失うことで歯がグラグラと揺れるようになります。
臼歯の根分岐部(奥歯の根の分かれている部分)にまで組織破壊が進むと治療はより複雑になり、根分岐部の破壊が3/4以上進むことで歯が上下に動くようになると、一般的に歯の保存が困難となります。
重度歯周病に
よく見られる自覚症状
- 歯茎が真っ赤に腫れて
膿が出る - 歯周ポケットからの出血が
ひどくなる - 歯が上下左右に激しく
グラつく - 食事の際には痛みで噛めない
こともある - 歯がさらに下がる
(長くなったように見える) - 歯と歯の隙間が目立つようになる
- 口臭を強く感じるようになる
歯周病によって失った歯や顎の骨は、治療を行なってもそのものが元の状態に戻るわけではありません。後悔されることのないように、お早めに私たち歯科の専門家にご相談ください。
24時間ネット予約
受付しております
まずはお気軽にご相談ください。
歯周病治療の相談受付中
“抜歯しかない”と諦める前に、「歯周病専門医」に
ご相談ください
一般の歯科医院では、重度歯周病と診断した場合には“抜歯を勧める”ケースがほとんどですが、当院であれば「⻭周病専⾨医」による正確な診断、そして最新の「歯周組織再生療法」によって、ご自身の大切な歯を残せる可能性があります。
24時間ネット予約
受付しております
まずはお気軽にご相談ください。
歯周病の治療法について
歯周病の治療法の種類
歯周病の治療は、症状の進行度合いや口の中の状態によって治療の内容が異なります。ここでは、かねてより重視されている『歯周基本治療』から、最新の『歯周組織再生療法』について解説します。
TBI
(Teeth Brushing
Instruction/歯磨き指導)
歯周病は歯や歯茎にたまるプラーク(歯垢)に潜む歯周病菌によって引き起こされることから、プラークを適切に取り除くことが基本となります。 また、治療を頑張って歯周病が治ったとしても、正しく歯磨きができていなかったり、歯磨きを怠ってしまえば歯周病は再発してしまいます。
そのため、患者さまがご自宅で行う正しい歯磨きの仕方を覚えることは、歯周病を改善するために、そして歯周病予防のために最も重要なポイントと言えるのです。 予防の専門家である歯科衛生士が、患者さま一人ひとりのお口の状態に合わせたブラッシング方法を丁寧に指導をさせていただきます。
歯肉縁上歯石除去
(SRP/歯のクリーニング)
SRPとはプラークやバイオフィルム、歯石を取り除くために行う専門的な歯のクリーニングです。
「スケーリング」と「ルートプレーニング」の頭文字からSRPと呼ばれています。歯周ポケット(歯と歯茎の間の溝)の深い所にあるプラークや歯石は、通常の歯ブラシでは取り除けないため、専門の器具で除去する必要があります。歯肉より上の部分(歯冠部)にある歯石は、水をかけながら超音波スケーラーで除去(スケーリング)します。歯肉縁上の歯石をキレイにした後、数週間おいて再度検査を行い、歯肉炎などが改善されているかどうかをチェックします。
スケーリング
(Scaling)
スケーラーと呼ばれる器具を用いて、主に歯の表面の歯石やバイオフィルム(細菌の塊)を除去する専門的なケアを行います。歯肉の上にある歯石のため、痛みはほとんど感じません。
ルートプレーニング
(Root Planing)とは
歯周ポケット内部の歯石や汚染された歯根(ルート)の表面を器具を使って除去し、歯の根を硬く滑らかに(プレーニング)するケアを行います。通常ルートプレーニングは麻酔をしてから行いますので、治療時に痛みを感じることがほとんどありません。主に中等度の歯周病ケアとなります。
歯周病除菌治療(FMD)
FMD(Full Mouth Disinfection)とは、直訳すると「口腔内全ての細菌を取り除く」という意味であり、抗生剤を用いた歯周病の治療法です。
歯周病菌に効く抗生物質を飲むのと同時に、抗生剤の作用期間中に1回の処置で口腔内全ての歯石や歯周病原菌を取り除き、再感染を防ぐ除菌治療を行います。
口の中の歯周病菌とその住処を徹底して除去することで、短期間かつ根本的な治療を可能とします。
従来の歯周病治療と比べて、治療回数を少なくでき、さらに治りが早い・歯茎が下がりにくい・キレイに治癒しやすい・再発しにくいなどの特徴があります。また、歯周外科治療を避けたい方にもメリットがあります。
歯周外科治療
(フラップ手術)
歯周病が進行すると歯の根の深いところまでプラークや歯石が入り込み、スケーリングやルートプレーニングの処置では取りきれない場合があります。
そこで効果的なのが、フラップ手術(=歯肉剥離掻爬手術)です。フラップ手術は、歯周ポケットの奥深くにあるプラークや歯石を取り除くために、歯肉を切開して歯根表面をきれいにする外科的な治療です。
局部麻酔をしてから歯に沿って切開して歯肉を切り開き、歯根を露出させた状態にしてスケーリングやルートプレーニングを行います。歯周基本治療を行なっても歯周ポケットが5mm以上あり、歯石が残っている場合はフラップ手術を検討します。
歯周組織再生療法
歯周病により破壊された歯茎や骨を、人工骨や成長因子などを用いて再生させる治療方法です。
将来的に抜歯となるリスクの高い歯などの歯周組織を再生させ、歯を長持ちさせる(抜歯を回避する)ことを目的とします。 重度の歯周病で抜歯と診断されたが「歯をどうしても残したい」という方や、「歯ぐきや歯槽骨を元に戻して歯の寿命をしっかり伸ばしたい」方に適応されます。
エムドゲイン再生療法
エムドゲインとは、歯周病によって溶かされた骨などの組織を再生させる薬剤です。エムドゲイン再生療法では、歯の表面の汚れを取り除いてから、失われた骨の部分にエムドゲインゲルを入れることによって骨の再生を図ります。
このエムドゲインゲルは、子どもの頃の歯が生えてくる際に重要なタンパク質の一種「エナメルマトリックスデリバティブ」を主成分とします。
骨の再生には時間がかかるため、溶けてしまった骨の周りの歯石や膿の袋を取り出しても骨が再生する前に歯茎や汚れが入り込んでしまい、骨が再生するためのスペースがなくなってしまいます。そこでエムドゲインを利用することで、余分なものが入り込む前に骨の再生を促すことが可能となります。
再生療法治療の流れ
歯周病除菌治療の
流れについて
細菌検査と
資料どり
細菌検査、歯周ポケットの検査、レントゲン撮影、噛み合わせの確認などを行います。
※検査結果は10日~2週間程度を要します。
細菌検査の
結果の説明
検査の結果について分かりやすくご説明します。併せてFMDを行う日時を決めます。
自宅でのうがい
ご自宅にて、殺菌力が増す歯科機能水(EPIOS CAREウォーター)でのうがいをしていただきます。血液中にある免疫成分の次亜塩素酸 (HCLO-)という成分と同じ機能を持っています。
抗生剤の服用
錠剤のお薬をFMD当日の3日前から、1日1回2錠を服用していただきます。
FMD当日
超音波スケーラーなどの器具を使い、歯石をキレイに取り除きます。 事前に麻酔をして痛みにも十分な配慮をしながら治療を行います。2~3時間程かけて徹底的に歯石とプラークを除去していきます。
歯ブラシを
全て交換
歯ブラシに付着している菌が口の中に戻らないように、新しい歯ブラシに交換してご使用いただきます。
8日目から
抗生剤
メイアクト
この期間のプラークコントロール(細菌の抑制)が非常に重要です。当院にてお口の中の消毒や歯のクリーニングを受けていただき、ご自宅での正しいブラッシングをしっかりと行なっていただきます。
半年後、細菌検査
と
資料どり
再度検査を行い、半年前のデータと比較しながら口の中の状態、治療による変化を一緒に確認していきます。
歯周病除菌治療の注意事項
- 歯周ポケットが深い方は、FMD後に歯周外科が必要になる場合があります
- 喫煙される方には、喫煙をやめていただくようお願いをしております
- 症状によっては歯肉が下がり、見た目が悪くなる場合があります
- 治療後に知覚過敏になる場合がありますが、しばらくするとおさまります
- 菌の感染を避けるため家庭内で箸等の共有は避けてください
再生療法治療の
流れについて
歯周病の検査
まずは歯周病の状態を把握するために各種検査を行います(歯周ポケットの深さ、歯の揺れ具合、レントゲン、口腔内写真、細菌検査等)。
セルフケア指導
歯周病の原因となる菌をご自身で取り除けるように、患者さま一人ひとりの状態に合わせて正しい歯磨きやデンタルフロスの仕方について指導をします。なぜなら、毎日の適切なケアができていないと、再生療法を行なってもすぐに元の状態に戻ってしまうからです。正しいセルフケアの仕方を覚えて頂き、歯の周りの細菌を20%以下まで取れるようにします。
歯石の除去
歯石は歯周病菌を含んでいたり歯茎の腫れの原因にもなるため、外科的な処置をせずに取れる歯石は専門的なクリーニングで全て取り除きます。腫れや細菌が残っていると再生療法の成功率低下にもつながるため、事前にしっかりと歯石を除去します。
再検査
歯ブラシや歯石の除去によって細菌数の減少や腫れが引いたかを確認します。改善を確認できたら次のステップへと進みます。
CTによる精査
CT撮影を用いて3次元的な骨の吸収状態を確認します。このデータをもとにエムドゲインだけで再生を図るのか、骨の移植や人工骨も併用して再生させるのか等についても検討します。
エムドゲイン
再生療法
麻酔を施し、歯茎を開いて歯の周りに付いている汚れや歯石をキレイに取り除きます。再発や骨の再生の妨げにならないよう慎重にキレイにしていきます。その後エムドゲインの薬を入れて縫合します。
消毒・抜糸
消毒は翌日、2・3日後、一週間後と、なるべく短い間隔で行います。
抜糸までは歯ブラシが当てられないため、歯科医院にて汚れを取り除きます。10日〜14日ほどで抜糸を行います。
再検査
2〜3ヶ月程度で再生した状態について再検査をします。歯周ポケット検査やレントゲン検査等を行い、骨がどのくらい再生したかを確認します。
メインテナンス
最初は月一回程度でメインテナンスを行い、安定してきたら徐々に間隔を広げていきます。メインテナンスを怠ってしまうと元に戻ってしまう可能性があるため、定期的なメインテナンスを継続することは欠かせません。
当院では治療後におきましても、定期的なメインテナンスを通じて責任を持ってサポートしています。歯周病の再発を防ぎ、お口の健康を一緒に守っていきましょう。
インプラント周囲炎の
治療について
そもそもインプラント
周囲炎とは
インプラント周囲炎とは、インプラントの表面に付着したプラーク(歯垢)が原因で起こる病気です。
歯周病と同じ細菌感染症の一種となります。インプラントの周囲が適切に清掃されていないと、細菌感染によってインプラント周囲の歯肉が炎症を引き起こすようになり、やがて深部の骨にまで細菌が増殖することで歯槽骨が破壊されてしまいます。
インプラント周囲炎を
放っておくとどうなる?
インプラント周囲の骨の破壊が進むと、インプラントが骨に固定されない状態になります。症状が進むにつれて徐々にインプラントのグラつきが大きくなり、やがて抜け落ちてしまうケースもあります。
インプラント周囲炎と
歯周病の違いとは
インプラント周囲炎にかかると、非常に高確率でインプラントの不具合を引き起こす結果となります。また、痛みなどの自覚症状が現れにくく、歯周病以上に患者さまご本人がその症状に気づきにくいのが特徴です。
インプラント周囲炎の
治療法
症状が初期の状態を「インプラント周囲粘膜炎」、症状が進むと「インプラント周囲炎」と呼ばれます。いずれにしても自然に治癒することはないため、原因に合わせた適切な方法で早期に改善を図ることが重要となります。
インプラント周囲粘膜炎の
治療法
症状に合わせて歯のクリーニングや歯周ポケットの洗浄を行います。また、ここから症状が悪化してインプラント周囲炎を引き起こさないように、正しい歯磨きの仕方について指導やアドバイスを行います。
インプラント周囲炎の
治療法
専門の機器を用いたプラークや歯石のクリーニング、薬剤を用いた消毒洗浄、局所的または全身的抗菌療法、場合によってはインプラントの除去など患者さまの病状や症状の原因を見極め、最適な治療法を決定します。
インプラント周囲炎に
ならないためには
インプラント周囲炎の
予防策
1.歯科医院で定期的に
メインテナンスを受ける
歯磨きなどのセルフケアだけではどうしても取り除ききれない汚れがあり、それらが蓄積することでインプラント周囲炎の原因となります。治療後も担当医の指導のもと定期的に歯科医院で検診を受けて、メインテナンスを継続することが大切です。
2.正しいセルフケアで
清潔な状態を保つ
プラークに含まれる細菌をこまめに取り除くために、毎日の適切な歯磨きで口の中の環境を清潔に保つことが最も重要です。定期検診の際には、正しいセルフケアの仕方を習得していただけるようアドバイスやサポートをします。
3.タバコを控える
(禁煙)
タバコに含まれる成分がインプラント周囲炎を引き起こし、インプラント周囲炎の悪化や脱落を招く原因の1つとされています。インプラントをできる限り長持ちさせ、お口と全身の健康のためにも喫煙者の方は、歯科医院または禁煙外来に相談することをお勧めしています。
歯茎の下りでお悩みの方へ
歯茎下りの治療
(結合組織移植術)
歯周病が進行すると「歯茎が下がってきた(痩せてきた)、歯が長く見える」という症状に悩まされる患者さまも少なくありません。そうした歯茎下りの治療として「結合組織移植術」という方法があります。
結合組織移植術とは、主に上顎の奥歯の内側などの部位から歯茎の一部分を採取し、歯茎が下がっている部分に移植する治療法です。痩せた歯茎を補うことで、見た目の改善や知覚過敏の予防を図ります。インプラント治療でも応用される場合があります。
また、歯茎の退縮が広範囲にみられる場合には、無細胞性皮膚基質(火傷の治療などに使用される皮膚の移植材)を用いて移植を行う方法もあります。
歯周病の予防
先述の通り、歯周病の原因は歯に付着した細菌の塊「プラーク(歯垢)」です。そのため歯周病を予防するには、適切な「プラークコントロール(細菌の抑制)」を継続することが重要となります。
プラークコントロールには、大きく分けて2種類があります。 ご自身で行う毎日の歯磨きなどのセルフケア(Self Plaque Control) 。歯医者で行う専門的なクリーニングなどのプロフェッショナルケア (Professional Plaque Control)です。この2つを両立させることが歯周病の進行抑制、そして歯周病予防において重要な鍵となります。
セルフ・
プラークコントロール
正しいブラッシング(歯磨き)
ご家庭で行う毎日の歯磨きこそ、プラークコントロールの基本中の基本と言えます。自分に合う歯ブラシや歯間ブラシ、デンタルフロス等を使って丁寧にしっかりと汚れを落としていくことが大切です。併せて、フッ素を配合した歯磨き粉や洗口液(マウスウォッシュ等)を利用することで、汚れや細菌が口の中に残りにくくするのも効果的です。
健やかな生活習慣
歯周病は菌による感染症の一種のため、体の抵抗力とも深い関わりがあります。そのためバランスの良い食生活を心がけ、喫煙を控える、ストレスを溜め込まないなど、健康的な生活を送ることが歯周病予防の第一歩につながります。 ただ、日々の生活習慣をご自身だけで見直すことはなかなか難しいもの。当院では患者さまと一緒に考え、改善へ向けたアドバイスやサポートをしております。
プロフェッショナル・
プラークコントロール
PMTCによる歯石除去/歯面研磨
PMTCとは、P(プロフェッショナル)M(メカニカル)T(トゥース)C(クリーニング)の頭文字からきており、歯医者さんで行う専門的な歯面クリーニングのことです。
毎日ご家庭で隅々まで歯を磨いているつもりでも、どうしても歯ブラシの届きにくい場所などには汚れが蓄積されてしまいます。歯科医院で行うプロフェッショナルケアでは、歯ブラシでは取りきれない汚れや細菌を専門的なクリーニングでキレイに落としていきます。
汚れを取り除いた後は、歯面を磨き上げることでプラークが付着しにくい状態にします。定期的に行うことで細菌が溜まりにくい環境をつくり、歯周病の予防につなぎます。
「歯周病専門医」に
ご相談ください
歯周病(歯槽膿漏)
で
お悩みの方
歯周病(歯槽膿漏)でお悩みの方、実績のある歯科医師(歯周病専門医)の話が聞きたいという方は、ご遠慮なく当院へお問い合わせください。
池袋東⼝徒歩1分の⻭医者・つのり歯科には、「⻭を残すための⻭周病治療」を熟知したスペシャリストである歯周病専門医が在籍しています。そして、これまでにも歯周病でお悩みの多くの患者さまの診断と治療を行い、そのお悩みを解決してきた実績があります。他院で抜⻭を勧められた患者さまも、セカンドオピニオンで来院されます。
当院では丁寧な説明を重視しております。検査の結果や治療内容だけでなく、治療の選択肢やメリット・デメリットにつきましても事前にしっかりとお話します。
そして、まず可能なかぎり保険の範囲内で治療計画を立て、患者さまのご要望に沿うよう最適な治療を提案いたします。不安なことやご要望など安⼼してご相談ください。あなたのお悩みを解決するために、スタッフ一同、全力でお応えいたします。
お問い合わせはこちら
診療メニュー
幅広い診療に対応
一人ひとりの患者様に時間をかけて親身に診療。
安心・安全・痛くない。丁寧に納得のいく説明。
池袋駅東⼝徒歩1分の⻭医者【保険診療・急患対応】
お支払い方法について
初診料:保険適用・約3,000円〜4,000円
※お支払いは基本的には現金のみになります。
初診時には3,000円弱かかりますので現金を
ご持参のうえご来院ください。
患者様に合わせた幅広い治療
で大切な歯を守ります。
池袋の歯医者なら池袋駅東口つのり歯科へ。
歯周病専門医による重度歯周病治療、インビザライン、セラミック治療、精密根管治療まで幅広く対応いたします。
池袋で歯医者をお探しならお気軽にご相談ください。
- 駅近の歯医者
- 各種保険診療対応
- 土曜診療
- 急患対応











