ご予約・ご相談などお気軽にお電話ください
( 休診⽇:日・祝)

03-6812-1611

ネット予約が埋まっていても、当日受診可能な場合が
ございますのでお電話ください。

電話をかける オンライン予約

症例集

当院がこれまで治療した
症例集

まずはお気軽に
ご相談ください

痛みや腫れなどの症状がある場合、痛みを和らげる応急処置を優先的に行います。後日改めて必要な検査や治療、カウンセリングを行うことがあります。

今すぐネット予約する

歯周病の治療症例はこちら

歯周病の治療

インプラント治療症例はこちら

インプラント治療

矯正治療の症例はこちら

矯正治療

セラミック・メタルフリー治療の
症例はこちら

セラミック・メタルフリー治療

親知らず抜歯の症例はこちら

親知らず抜歯

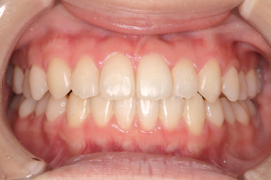
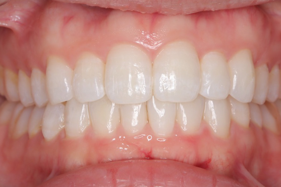
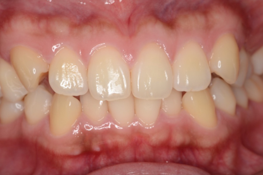
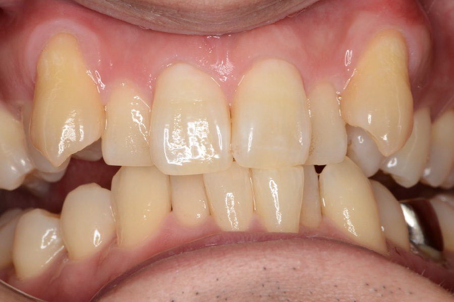
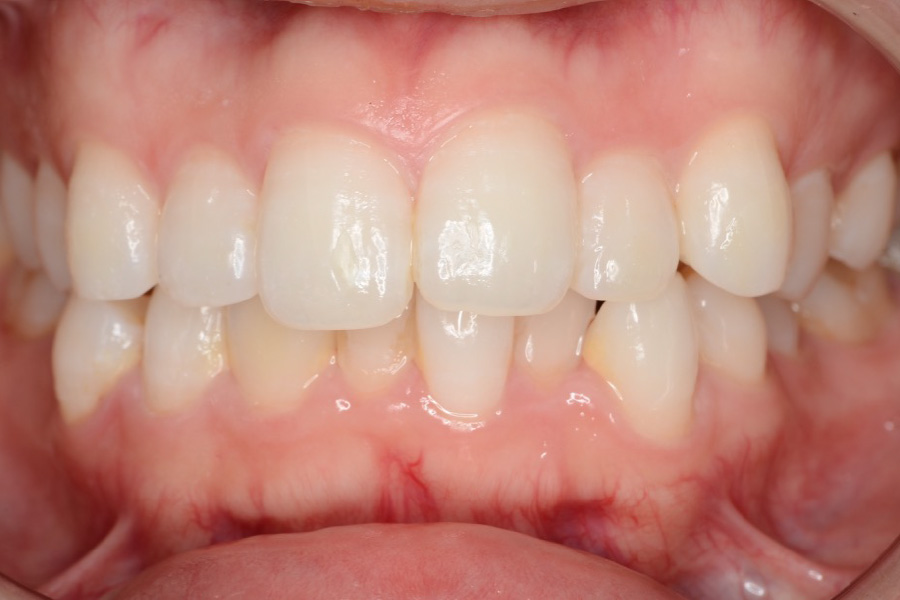
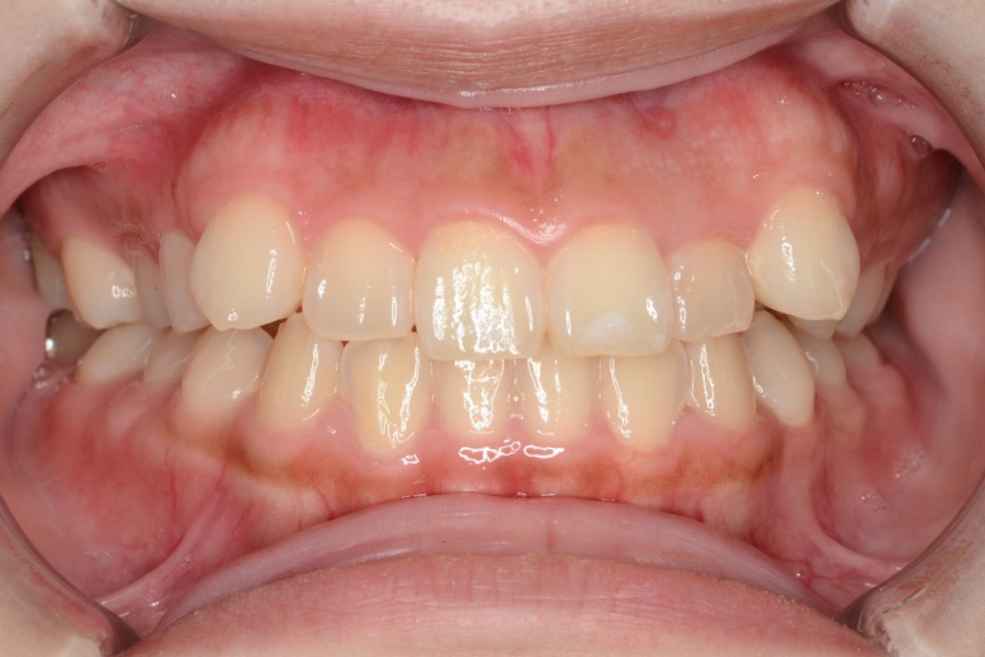
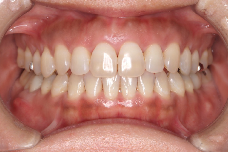
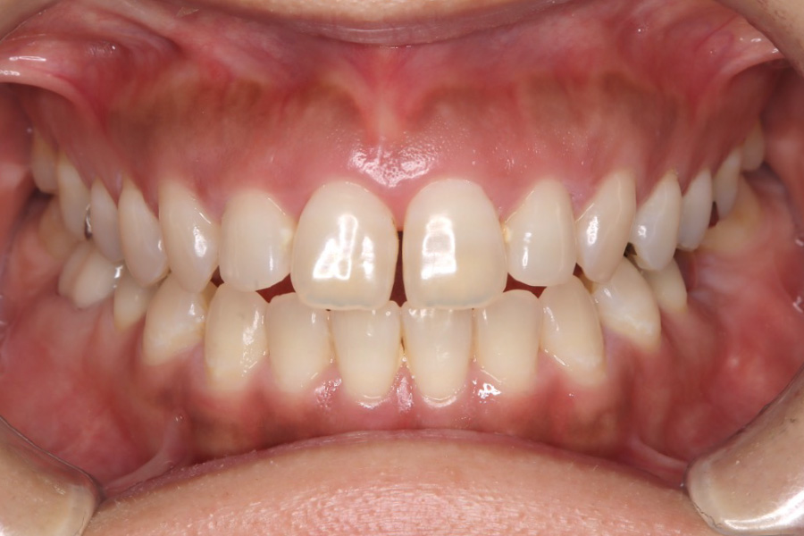
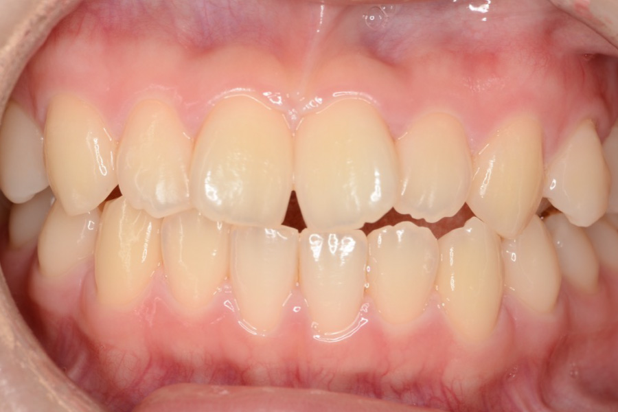
【20代女性】
歯のガタつき、隙間を
インビザライン矯正で治療したケース

主訴
歯のガタつき、隙間
期間
1年半
費用
220,000円〜660,000円
(デンタルローン 3,100円〜6,600円/月)
治療内容
インビザライン矯正
非抜歯
治療に伴うリスク
矯正終了後は、リテーナーを指示通りに使用し、歯の後戻りを防ぐ必要があります。

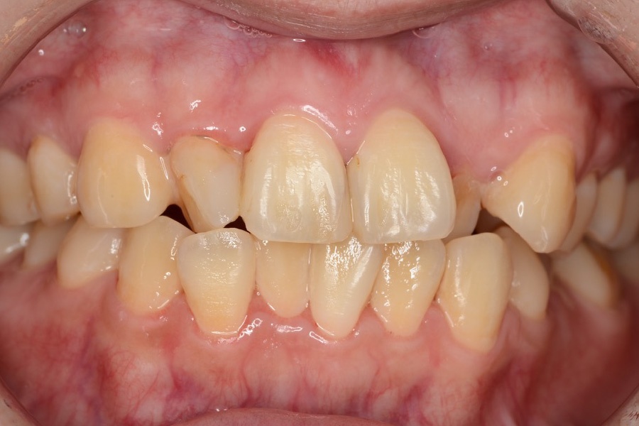
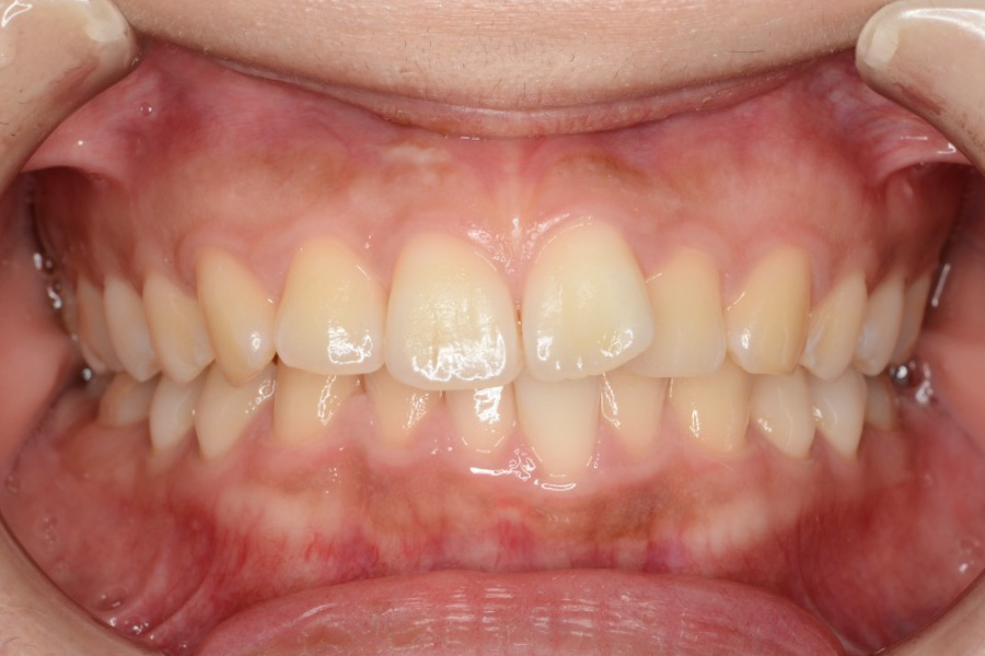
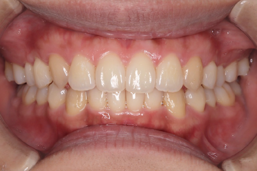
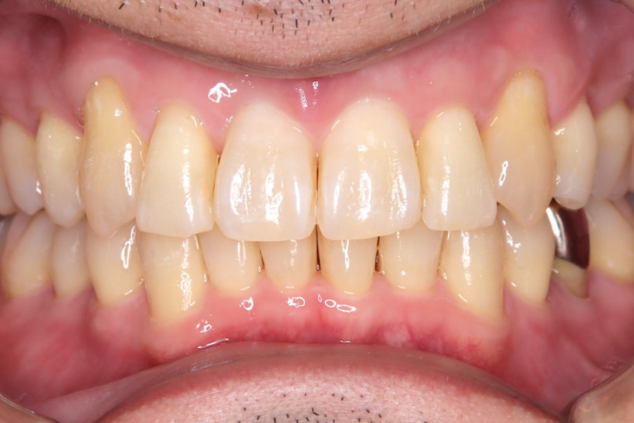
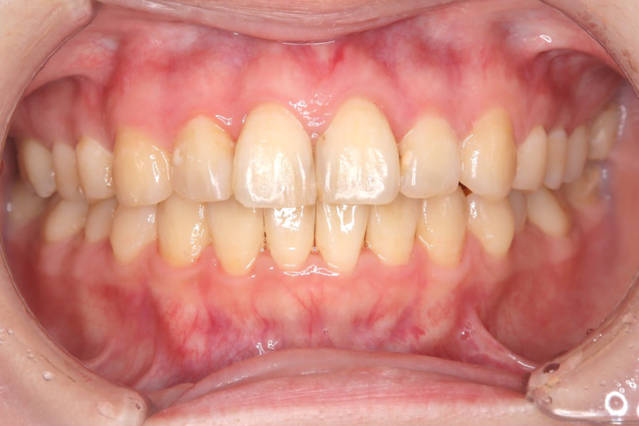
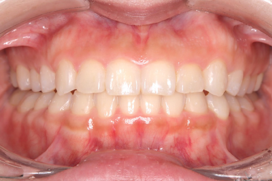
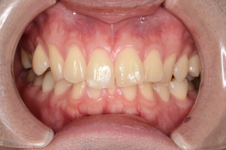
【20代女性】
歯のガタつきを
インビザライン矯正で治療したケース

主訴
歯のガタつき
期間
2年半
費用
220,000円〜660,000円
(デンタルローン 3,100円〜6,600円/月)
治療内容
インビザライン矯正
小臼歯抜歯
治療に伴うリスク
矯正終了後は、リテーナーを指示通りに使用し、歯の後戻りを防ぐ必要があります。

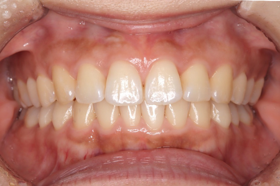
【20代女性】
かみ合わせを
インビザライン矯正で治療したケース

主訴
かみ合わせが気になる
期間
2年
費用
220,000円〜660,000円
(デンタルローン 3,100円〜6,600円/月)
治療内容
インビザライン矯正
非抜歯
治療に伴うリスク
矯正終了後は、リテーナーを指示通りに使用し、歯の後戻りを防ぐ必要があります。

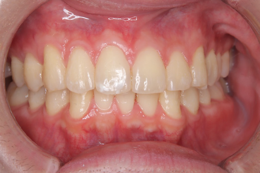
【20代女性】
歯のガタつきを
インビザライン矯正で治療したケース

主訴
ガタつき
期間
2年
費用
220,000円〜660,000円
(デンタルローン 3,100円〜6,600円/月)
治療内容
インビザライン矯正
非抜歯
治療に伴うリスク
矯正終了後は、リテーナーを指示通りに使用し、歯の後戻りを防ぐ必要があります。

【20代女性】
歯の突出感、スペースを
インビザライン矯正で治療したケース

主訴
歯の突出感、スペースが気になる
期間
2年半
費用
220,000円〜660,000円
(デンタルローン 3,100円〜6,600円/月)
治療内容
インビザライン矯正
非抜歯
治療に伴うリスク
矯正終了後は、リテーナーを指示通りに使用し、歯の後戻りを防ぐ必要があります。

【30代女性】
かみ合わせ、ガタつきを
インビザライン矯正で治療したケース

主訴
かみ合わせ、ガタつきが気になる
期間
2年
費用
220,000円〜660,000円
(デンタルローン 3,100円〜6,600円/月)
治療内容
インビザライン矯正
非抜歯
治療に伴うリスク
矯正終了後は、リテーナーを指示通りに使用し、歯の後戻りを防ぐ必要があります。

【20代女性】
歯のスペースを閉じたい
【インビザライン矯正】

主訴
歯のスペースを閉じたい
期間
2年
費用
220,000円〜660,000円
(デンタルローン 3,100〜6,600円/月)
治療内容
インビザライン矯正
非抜歯
治療に伴うリスク
矯正終了後は、リテーナーを指示通りに使用し、歯の後戻りを防ぐ必要があります。

【20代男性】
前歯のすき間と突出感を
インビザライン矯正で治療したケース

主訴
前歯のスペース、突出感が気になる
期間
1年半
費用
220,000円〜660,000円
(デンタルローン 3,100〜6,600円/月)
治療内容
インビザライン矯正
非抜歯
治療に伴うリスク
矯正終了後は、リテーナーを指示通りに使用し、歯の後戻りを防ぐ必要があります。

【30代女性】
矯正の後戻りを
インビザライン矯正で治療したケース

主訴
矯正後戻り
期間
1年半
費用
220,000円〜660,000円
(デンタルローン 3,100〜6,600円/月)
治療内容
インビザライン矯正
非抜歯
治療に伴うリスク
矯正終了後は、リテーナーを指示通りに使用し、歯の後戻りを防ぐ必要があります。

【30代女性】八重歯を
インビザライン矯正で治療したケース

主訴
八重歯
期間
2年半
費用
220,000円〜660,000円
(デンタルローン 3,100〜6,600円/月)
治療内容
インビザライン矯正
非抜歯
治療に伴うリスク
矯正終了後は、リテーナーを指示通りに使用し、歯の後戻りを防ぐ必要があります。

患者様に合わせた幅広い治療
で大切な歯を守ります。

池袋の歯医者 | 池袋東口つのり歯科

池袋の歯医者なら池袋駅東口つのり歯科へ。
歯周病専門医による重度歯周病治療、インビザライン、セラミック治療、精密根管治療まで幅広く対応いたします。
池袋で歯医者をお探しならお気軽にご相談ください。

  • 駅近の歯医者
  • 各種保険診療対応
  • 土曜診療
  • 急患対応

池袋で歯医者をお探しの方
ご予約・ご相談はお気軽にどうぞ ▼

WEB予約