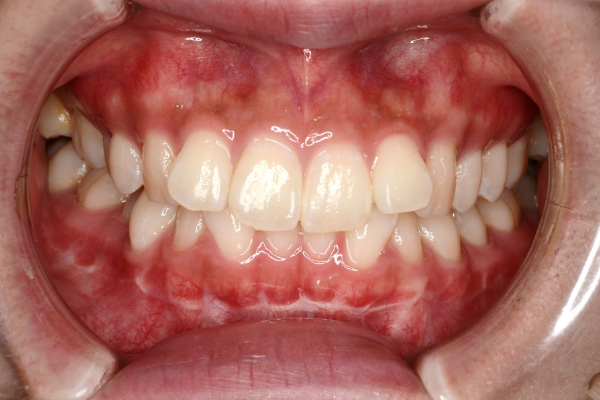
【30代男性】
下の歯のガタつきを
インビザライン矯正で治療したケース
- 主訴
- 下の歯のガタつき
- 期間
- 1年
- 費用
- 220,000円〜660,000円
- 治療内容
- インビザライン矯正
小臼歯抜歯
- 治療に伴うリスク
- ・矯正終了後は、リテーナーを指示通りに使用し、歯の後戻りを防ぐ必要があります。
【30代女性】
全体のガタつきを
インビザライン矯正で
治療したケース
- 主訴
- 全体のガタつき
- 期間
- 2年
- 費用
- 220,000円〜660,000円
- 治療内容
- インザライン矯正
小臼歯抜歯
- 治療に伴うリスク
- ・矯正終了後は、リテーナーを指示通りに使用し、歯の後戻りを防ぐ必要があります。
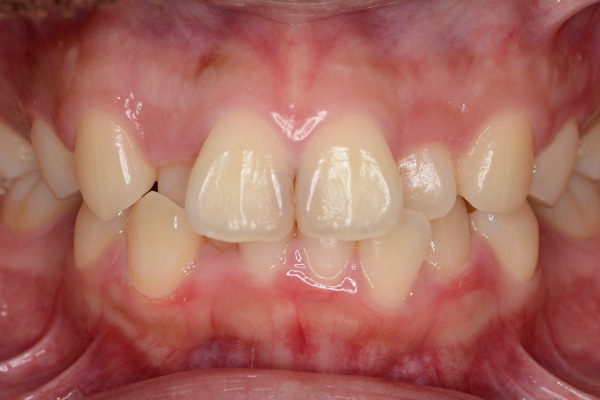
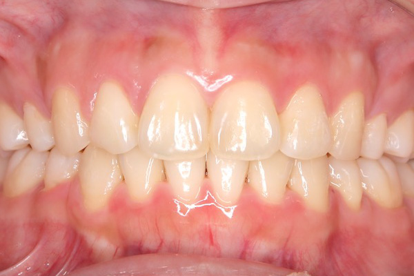
【30代女性】
歯のガタつきを
インビザライン矯正で
治療したケース
【30代男性】
下の歯のガタつきを
インビザライン矯正で
治療したケース
【40代女性】
反対咬合と内側の歯を
インビザライン矯正で
治療したケース
- 主訴
- 反対咬合
内側に歯がある
- 期間
- 2年
- 費用
- 220,000円〜660,000円
- 治療内容
- インザライン矯正
非抜歯
- 治療に伴うリスク
- ・矯正終了後は、リテーナーを指示通りに使用し、歯の後戻りを防ぐ必要があります。
【30代女性】歯のガタつきを
インビザライン矯正で
治療したケース
- 主訴
- ガタつき
- 期間
- 2年
- 費用
- 220,000円〜660,000円
- 治療内容
- インザライン矯正
小臼歯抜歯
- 治療に伴うリスク
- ・矯正終了後は、リテーナーを指示通りに使用し、歯の後戻りを防ぐ必要があります。
【20代女性】
全体のガタつきを
インビザライン矯正で
治療したケース
- 主訴
- 全体のガタつき
- 期間
- 1年半
- 費用
- 220,000円〜660,000円
- 治療内容
- インザライン矯正
非抜歯
- 治療に伴うリスク
- ・矯正終了後は、リテーナーを指示通りに使用し、歯の後戻りを防ぐ必要があります。
【40代女性】
下の歯のガタつきを
インビザライン矯正で
治療したケース
- 主訴
- 下の歯のガタつき
- 期間
- 2年
- 費用
- 220,000円〜660,000円
- 治療内容
- インザライン矯正
非抜歯
- 治療に伴うリスク
- ・矯正終了後は、リテーナーを指示通りに使用し、歯の後戻りを防ぐ必要があります。
【20代女性】
全体のガタつき、
前歯の突出感を
インビザライン矯正で治療したケース
- 主訴
- 全体のガタつき、前歯の突出感
- 期間
- 2年
- 費用
- 220,000円〜660,000円
- 治療内容
- インビザライン矯正
小臼歯抜歯
- 治療に伴うリスク
- ・矯正終了後は、リテーナーを指示通りに使用し、歯の後戻りを防ぐ必要があります。

















