【30代女性】
歯のガタつきを
インビザライン矯正で治療したケース
【30代女性】
歯のガタつきを
インビザライン矯正で治療したケース
【30代男性】
歯のガタつきを
インビザライン矯正で治療したケース
【30代女性】
かみ合わせ、ガタつきを
インビザライン矯正で治療したケース
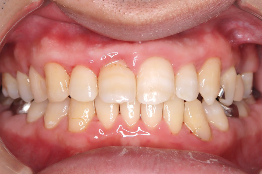
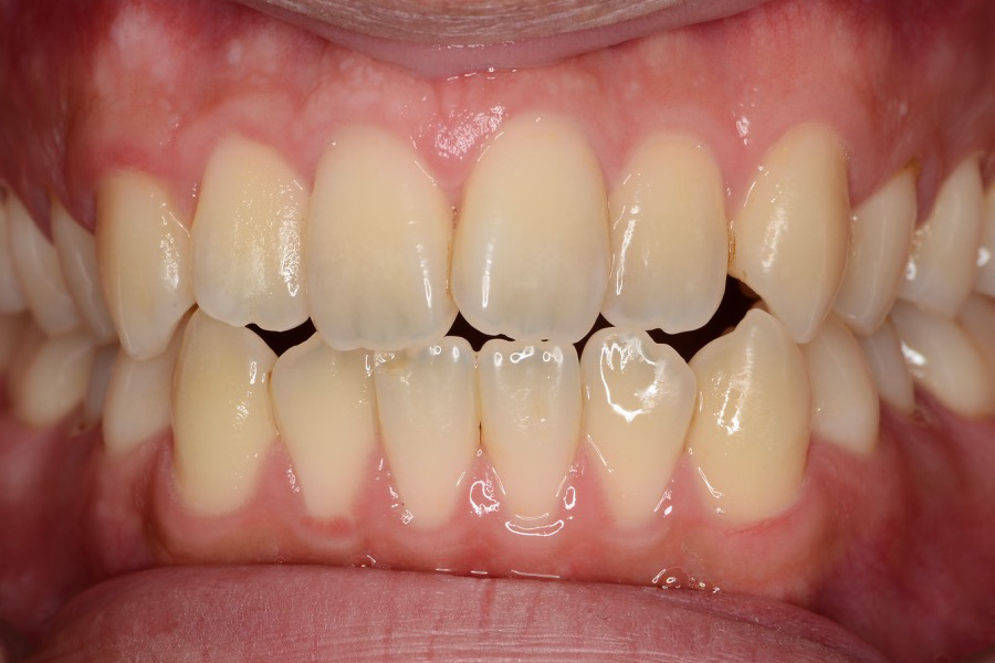
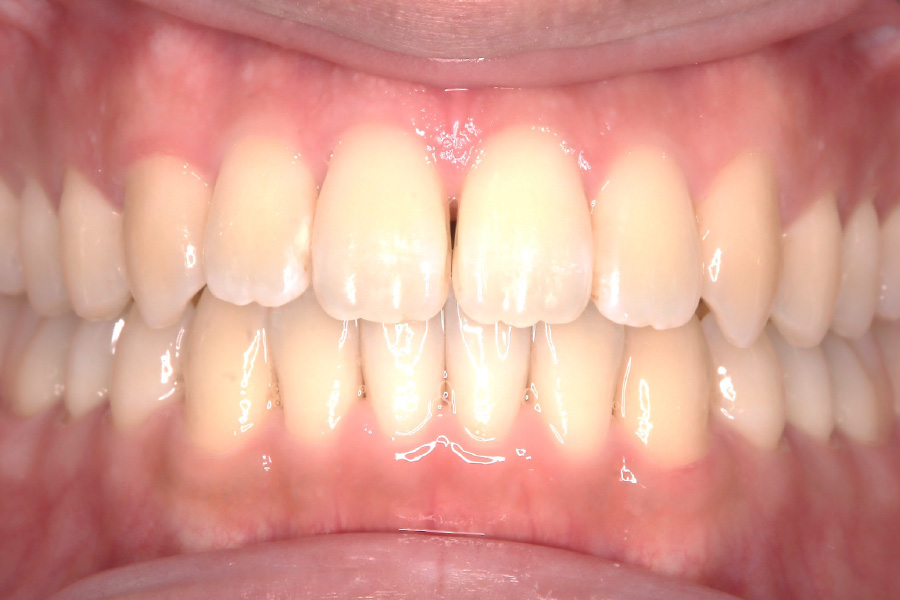
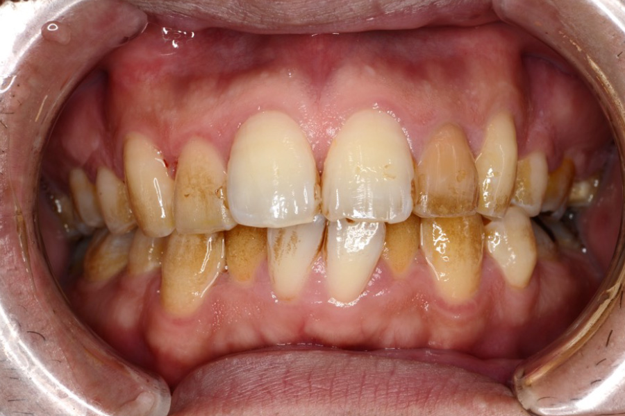
【30代女性】
矯正の後戻りを
インビザライン矯正で治療したケース
- 主訴
- 矯正後戻り
- 期間
- 1年半
- 費用
- 220,000円〜660,000円
(デンタルローン 3,100〜6,600円/月)
- 治療内容
- インビザライン矯正
非抜歯
- 治療に伴うリスク
- 矯正終了後は、リテーナーを指示通りに使用し、歯の後戻りを防ぐ必要があります。
【30代女性】八重歯を
インビザライン矯正で治療したケース
【30代矯正】
下の歯のガタつきを
インビザライン矯正で治療したケース
【20代女性】歯の突出感を
インビザライン矯正で治療したケース
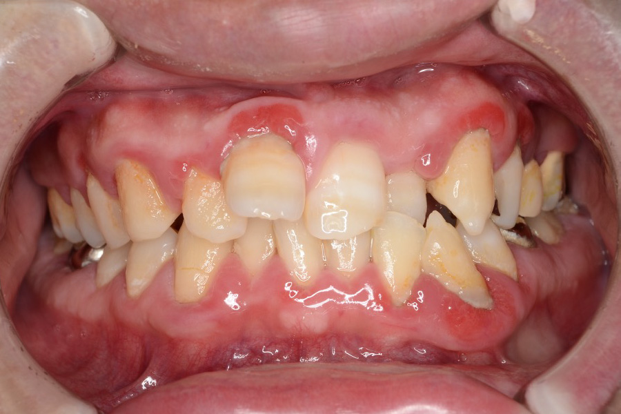
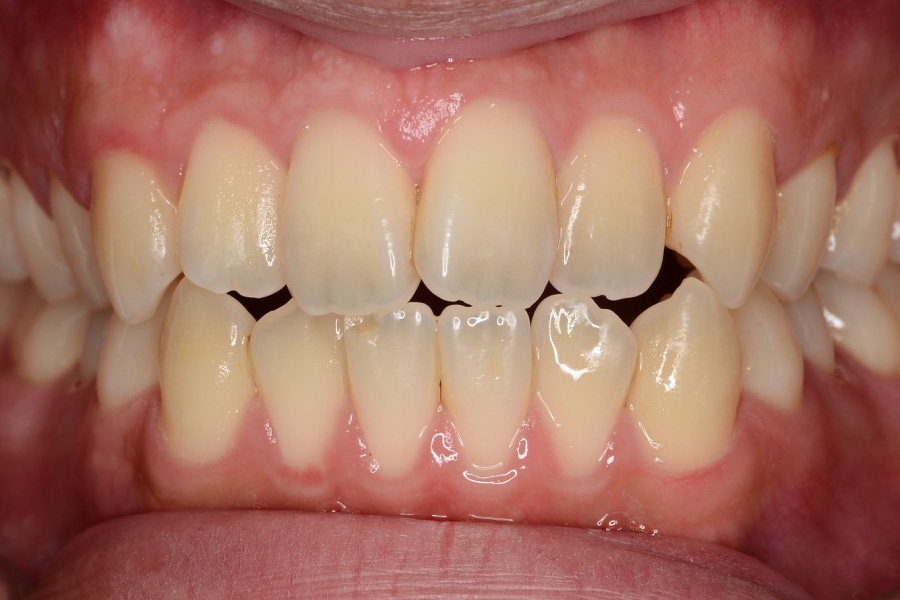
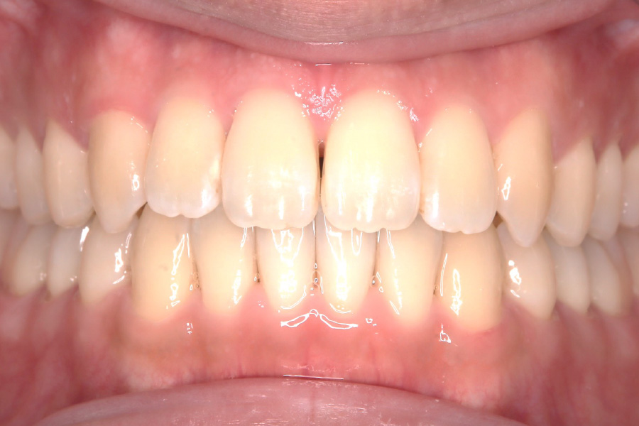
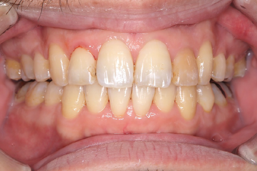
【30代女性】
下の歯のガタつきを
インビザライン矯正で治療したケース
- 主訴
- 下の歯のガタつきが気になる
- 期間
- 1年半
- 費用
- 220,000円〜660,000円
(デンタルローン 3,100円〜6,600円/月)
- 治療内容
- インビザライン矯正
非抜歯
- 治療に伴うリスク
- 矯正終了後は、リテーナーを指示通りに使用し、歯の後戻りを防ぐ必要があります。



















