まずはお気軽に
ご相談ください
痛みや腫れなどの症状がある場合、痛みを和らげる応急処置を優先的に行います。後日改めて必要な検査や治療、カウンセリングを行うことがあります。
ご予約・ご相談などお気軽にお電話ください
( 休診⽇:日・祝)
ネット予約が埋まっていても、当日受診可能な場合が
ございますのでお電話ください。
痛みや腫れなどの症状がある場合、痛みを和らげる応急処置を優先的に行います。後日改めて必要な検査や治療、カウンセリングを行うことがあります。




















池袋の歯医者なら池袋駅東口つのり歯科へ。
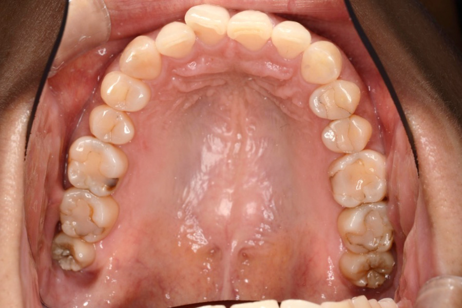
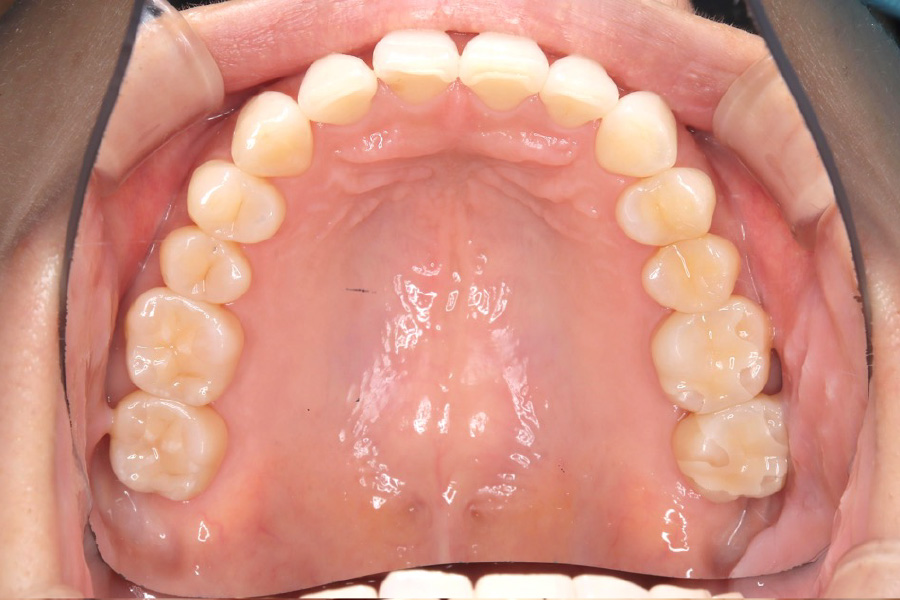
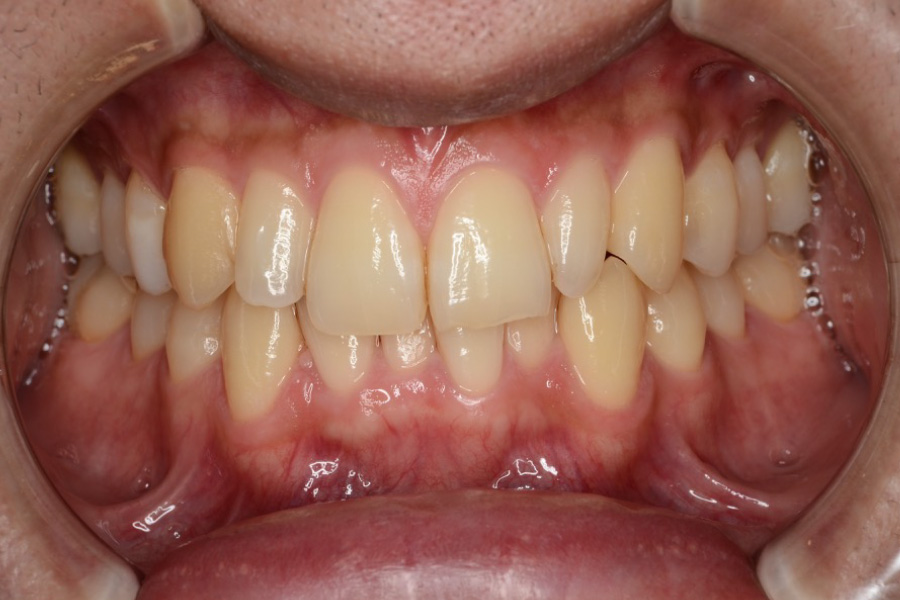
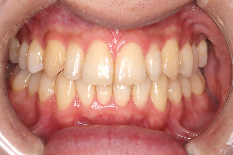
歯周病専門医による重度歯周病治療、インビザライン、セラミック治療、精密根管治療まで幅広く対応いたします。
池袋で歯医者をお探しならお気軽にご相談ください。