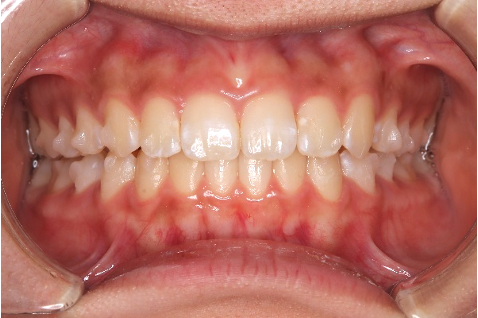
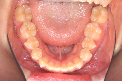
【10代女性】前歯のがたつきを治したい・見た目をきれいにしたい
「前歯のがたつきを治したい・見た目をきれいにしたい」とのことでインビザライン矯正をご希望の患者さんでした。歯並びもキレイになりお喜びいただけておりました。
術前

術後

術前

術後

術前

術後

性別:女性 / 年齢:10代
| 主訴 | 前歯のがたつきを治したい、見た目をきれいにしたい |
|---|---|
| 期間 | 15ヶ月 |
| 費用 | 385,000円 (デンタルローン 3,800円/月) |
| 治療内容 | 治療プラン)ライトパッケージ 治療枚数)28枚 |
| 治療に伴うリスク | 矯正終了後は、リテーナーを指示通りに使用し、歯の後戻りを防ぐ必要があります。 |



















