【30代女性】前歯のがたつきを治したい・突出感を改善したい・歯は抜きたくない
術前

術後

術前

術後

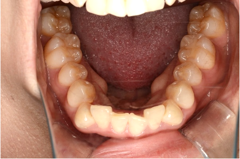
術前

術後

性別:女性 / 年齢:30代
| 主訴 | 前歯のがたつきを治したい 突出感を改善したい 歯はぬきたくない |
|---|---|
| 期間 | 12ヶ月 |
| 費用 | 660,000円 (デンタルローン 6,600円/月) |
| 治療内容 | 治療プラン)インビザライン・フルパッケージ 治療枚数)42 枚 |
| 治療に伴うリスク | 矯正終了後は、リテーナーを指示通りに使用し、歯の後戻りを防ぐ必要があります。 |
ご予約・ご相談などお気軽にお電話ください
( 休診⽇:日・祝)
ネット予約が埋まっていても、当日受診可能な場合が
ございますのでお電話ください。






| 主訴 | 前歯のがたつきを治したい 突出感を改善したい 歯はぬきたくない |
|---|---|
| 期間 | 12ヶ月 |
| 費用 | 660,000円 (デンタルローン 6,600円/月) |
| 治療内容 | 治療プラン)インビザライン・フルパッケージ 治療枚数)42 枚 |
| 治療に伴うリスク | 矯正終了後は、リテーナーを指示通りに使用し、歯の後戻りを防ぐ必要があります。 |
痛みや腫れなどの症状がある場合、痛みを和らげる応急処置を優先的に行います。
後日改めて必要な検査や治療、カウンセリングを行うことがあります。
池袋の歯医者なら池袋駅東口つのり歯科へ。
歯周病専門医による重度歯周病治療、インビザライン、セラミック治療、精密根管治療まで幅広く対応いたします。
池袋で歯医者をお探しならお気軽にご相談ください。