【40代男性】見た目とかみ合わせを治したいのをインビザライン矯正で治療したケース
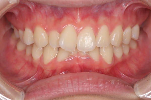
初診

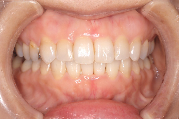
治療後

性別:男性 / 年齢:40代
| 主訴 | 見た目とかみ合わせを治したい |
|---|---|
| 期間 | 22か月 |
| 費用 | ¥660,000 (デンタルローン 6,600円/月) |
| 治療内容 | インビザライン、抜歯矯正 |
| 治療に伴うリスク | 矯正終了後は、リテーナーを指示通りに使用し、歯の後戻りを防ぐ必要があります。 |
ご予約・ご相談などお気軽にお電話ください
( 休診⽇:日・祝)
ネット予約が埋まっていても、当日受診可能な場合が
ございますのでお電話ください。


| 主訴 | 見た目とかみ合わせを治したい |
|---|---|
| 期間 | 22か月 |
| 費用 | ¥660,000 (デンタルローン 6,600円/月) |
| 治療内容 | インビザライン、抜歯矯正 |
| 治療に伴うリスク | 矯正終了後は、リテーナーを指示通りに使用し、歯の後戻りを防ぐ必要があります。 |
痛みや腫れなどの症状がある場合、痛みを和らげる応急処置を優先的に行います。
後日改めて必要な検査や治療、カウンセリングを行うことがあります。
池袋の歯医者なら池袋駅東口つのり歯科へ。
歯周病専門医による重度歯周病治療、インビザライン、セラミック治療、精密根管治療まで幅広く対応いたします。
池袋で歯医者をお探しならお気軽にご相談ください。