【30代女性】前歯が変色してきた・歯の根っこが腫れた
術前

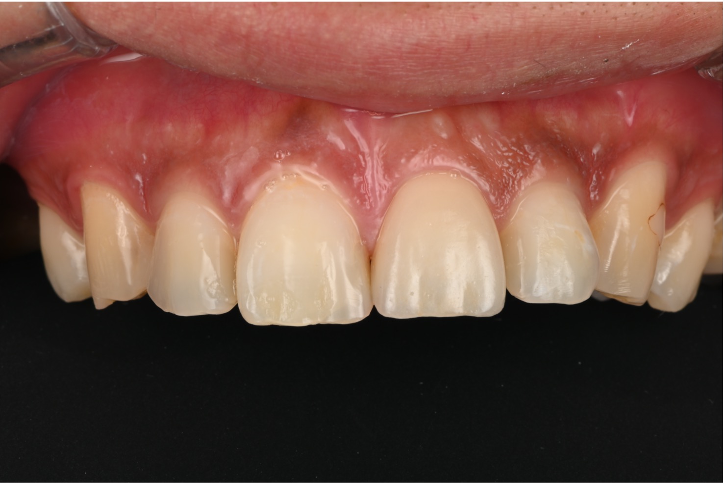
術後

性別:女性 / 年齢:30代
| 主訴 | 前歯が変色してきた 歯の根っこが腫れた |
|---|---|
| 期間 | 準備中 |
| 費用 | 132,000 円 |
| 治療内容 | 部位:21 補綴種類:ジルコニアボンドセラミック |
| 治療に伴うリスク | 強い噛み合わせや歯ぎしりがある場合、負担がかかりやすくなり、割れや欠けが発生する可能性があります。 |
ご予約・ご相談などお気軽にお電話ください
( 休診⽇:日・祝)
ネット予約が埋まっていても、当日受診可能な場合が
ございますのでお電話ください。


| 主訴 | 前歯が変色してきた 歯の根っこが腫れた |
|---|---|
| 期間 | 準備中 |
| 費用 | 132,000 円 |
| 治療内容 | 部位:21 補綴種類:ジルコニアボンドセラミック |
| 治療に伴うリスク | 強い噛み合わせや歯ぎしりがある場合、負担がかかりやすくなり、割れや欠けが発生する可能性があります。 |
痛みや腫れなどの症状がある場合、痛みを和らげる応急処置を優先的に行います。
後日改めて必要な検査や治療、カウンセリングを行うことがあります。
池袋の歯医者なら池袋駅東口つのり歯科へ。
歯周病専門医による重度歯周病治療、インビザライン、セラミック治療、精密根管治療まで幅広く対応いたします。
池袋で歯医者をお探しならお気軽にご相談ください。