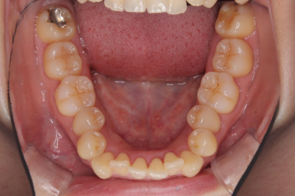
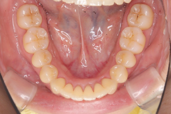
【30代女性】
下の歯が前に出ているのを
インビザライン矯正で治療したケース
治療前

治療後

治療前

治療後

| 主訴 | 下の歯が前に出ている |
|---|---|
| 期間 | 1年 |
| 費用 | 220,000円〜660,000円 (デンタルローン 3,100〜6,600円/月) |
| 治療内容 | インザライン矯正 非抜歯 |
| 治療に伴うリスク | 矯正終了後は、リテーナーを指示通りに使用し、歯の後戻りを防ぐ必要があります。 |
ご予約・ご相談などお気軽にお電話ください
( 休診⽇:日・祝)
ネット予約が埋まっていても、当日受診可能な場合が
ございますのでお電話ください。




| 主訴 | 下の歯が前に出ている |
|---|---|
| 期間 | 1年 |
| 費用 | 220,000円〜660,000円 (デンタルローン 3,100〜6,600円/月) |
| 治療内容 | インザライン矯正 非抜歯 |
| 治療に伴うリスク | 矯正終了後は、リテーナーを指示通りに使用し、歯の後戻りを防ぐ必要があります。 |
痛みや腫れなどの症状がある場合、痛みを和らげる応急処置を優先的に行います。
後日改めて必要な検査や治療、カウンセリングを行うことがあります。
池袋の歯医者なら池袋駅東口つのり歯科へ。
歯周病専門医による重度歯周病治療、インビザライン、セラミック治療、精密根管治療まで幅広く対応いたします。
池袋で歯医者をお探しならお気軽にご相談ください。