ご予約・ご相談などお気軽にお電話ください
( 休診⽇:日・祝)

03-6812-1611

ネット予約が埋まっていても、当日受診可能な場合が
ございますのでお電話ください。

電話をかける オンライン予約

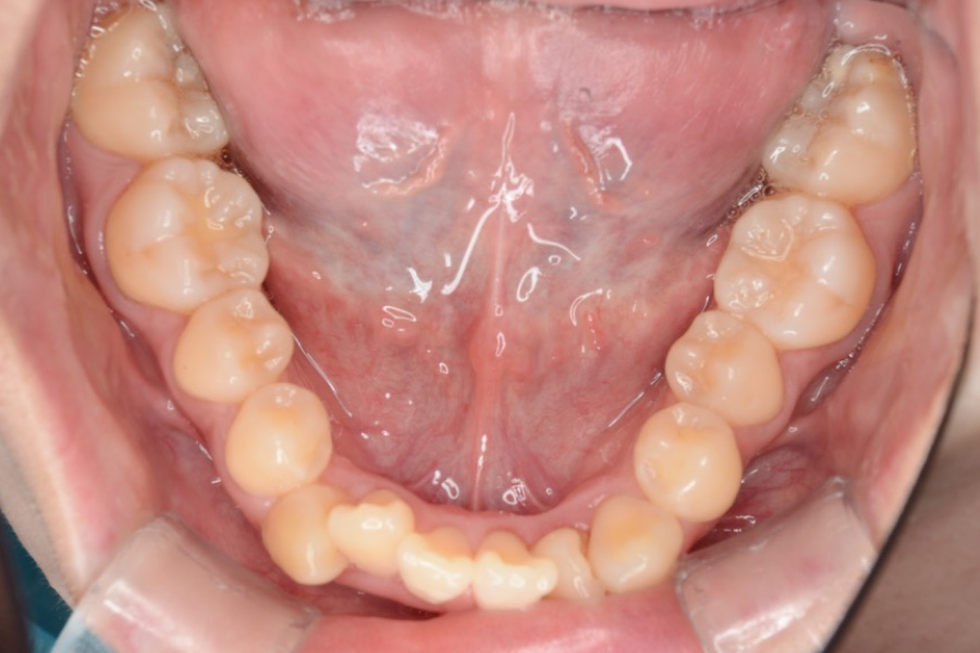
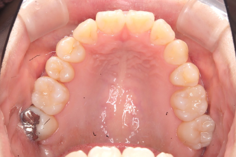
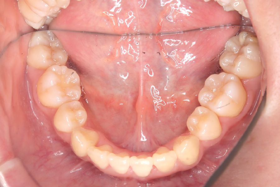
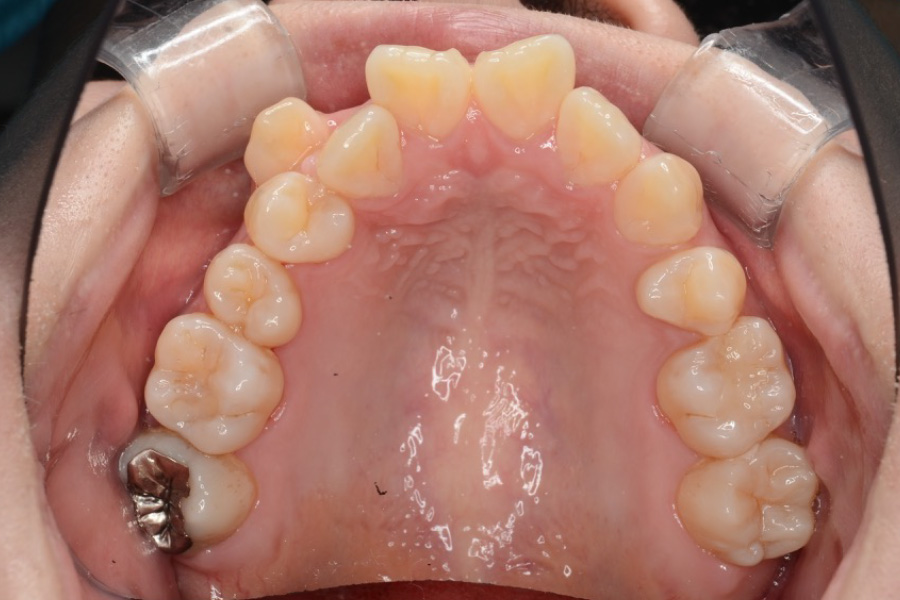
【30代女性】
全体のガタつきを
インビザライン矯正で
治療したケース

治療前

治療後

主訴 全体のガタつきが気になる
期間 2年
費用 220,000円〜660,000円
(デンタルローン 3,100〜6,600円/月)
治療内容 インザライン矯正
小臼歯抜歯
治療に伴うリスク 矯正終了後は、リテーナーを指示通りに使用し、歯の後戻りを防ぐ必要があります。

まずはお気軽に
ご相談ください!

痛みや腫れなどの症状がある場合、痛みを和らげる応急処置を優先的に行います。
後日改めて必要な検査や治療、カウンセリングを行うことがあります。

今すぐネット予約する

関連症例

患者様に合わせた幅広い治療
で大切な歯を守ります。

池袋の歯医者 | 池袋東口つのり歯科

池袋の歯医者なら池袋駅東口つのり歯科へ。
歯周病専門医による重度歯周病治療、インビザライン、セラミック治療、精密根管治療まで幅広く対応いたします。
池袋で歯医者をお探しならお気軽にご相談ください。

  • 駅近の歯医者
  • 各種保険診療対応
  • 土曜診療
  • 急患対応

池袋で歯医者をお探しの方
ご予約・ご相談はお気軽にどうぞ ▼

WEB予約