【20代男性】
八重歯を
インビザライン矯正で
治療したケース
【20代女性】
ガタつきと斜めった歯を
インビザライン矯正で
治療したケース
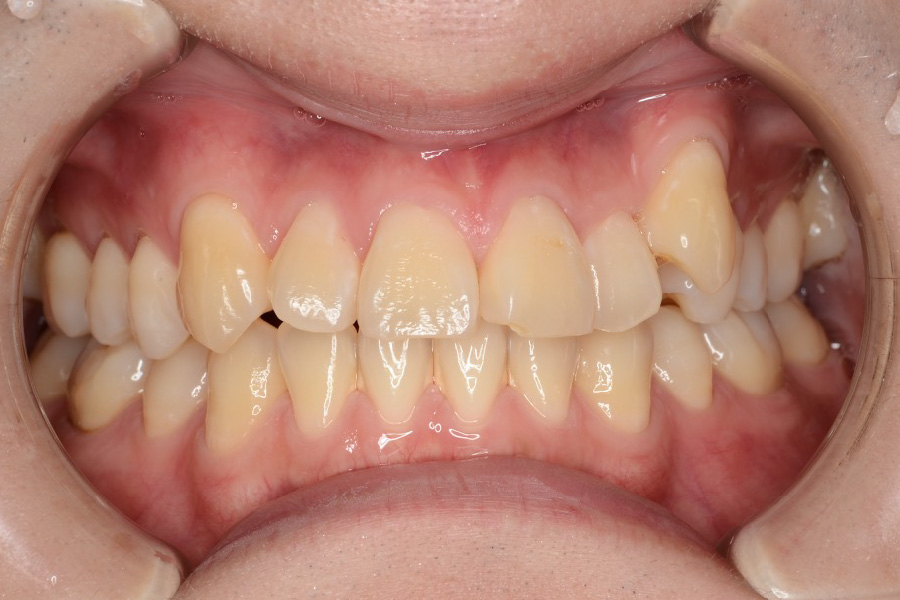
【20代女性】
全体のガタつきを
インビザライン矯正で
治療したケース
- 主訴
- 全体のガタつき
- 期間
- 1年半
- 費用
- 220,000円〜660,000円
- 治療内容
- インザライン矯正
非抜歯
- 治療に伴うリスク
- ・矯正終了後は、リテーナーを指示通りに使用し、歯の後戻りを防ぐ必要があります。
【20代女性】
前歯のガタつき、
下の歯が見えないのをインビザライン
矯正で治療したケース
【20代女性】
前歯のガタつきを
インビザライン矯正で治療したケース
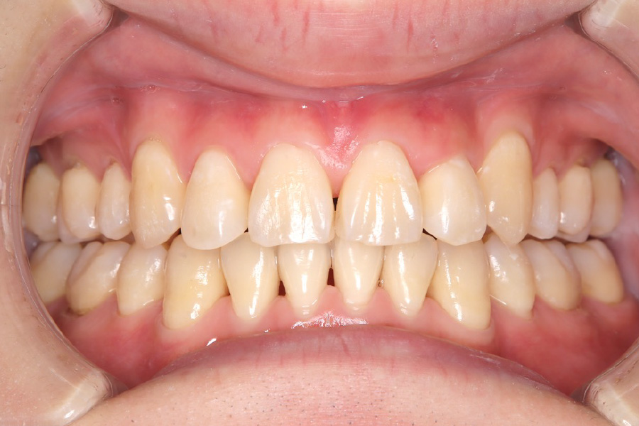
【20代女性】
全体のガタつき、
前歯の突出感を
インビザライン矯正で治療したケース
- 主訴
- 全体のガタつき、前歯の突出感
- 期間
- 2年
- 費用
- 220,000円〜660,000円
- 治療内容
- インビザライン矯正
小臼歯抜歯
- 治療に伴うリスク
- ・矯正終了後は、リテーナーを指示通りに使用し、歯の後戻りを防ぐ必要があります。
【20代男性】右下の奥歯が腫れて痛い・親知らず抜歯したケース
【20代男性】虫歯を治したい、歯を白くしてほしい
【20代女性】他院で親知らずの抜歯を勧められ来院・抜歯したケース
- 主訴
- 他院で抜歯をすすめられた
- 期間
- 左右とも30分
- 費用
- 5,000円〜10,000円
- 治療内容
- 親知らず抜歯
- 治療に伴うリスク
- ・親知らずの抜歯後は、血餅(けっぺい:かさぶた)が取れると治癒が遅れるため、うがいを控えめにしてください。
・抜歯後、腫れや痛みが出ることがありますが、冷やすことで緩和する場合があります。
・抜歯当日は、激しい運動やアルコール摂取を避け、安静に過ごしてください。



















