【20代女性】前歯が噛んでいない・正中を揃えたい 、オープンバイトを治したい、歯並びをきれいにしたい
「前歯が噛んでいない・正中を揃えたい 」とのことでインビザライン矯正をご希望の患者さんでした。歯並びもキレイになりお喜びいただけておりました。
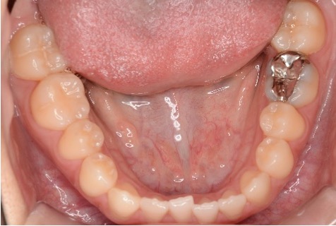
術前

術後

術前

術後

術前

術後

性別:女性 / 年齢:20代
| 主訴 | 前歯が噛んでいない、正中を揃えたい、オープンバイトを治したい、歯並びをきれいにしたい |
|---|---|
| 期間 | 12ヶ月 |
| 費用 | 660,000円 (デンタルローン 6,600円/月) |
| 治療内容 | 治療プラン)インビザライン・フルパッケージ 治療枚数)50枚 |
| 治療に伴うリスク | ・矯正終了後は、リテーナーを指示通りに使用し、歯の後戻りを防具必要があります。 |



















