ご予約・ご相談などお気軽にお電話ください
( 休診⽇:日・祝)

03-6812-1611

ネット予約が埋まっていても、当日受診可能な場合が
ございますのでお電話ください。

電話をかける オンライン予約

東京最安66万円の
インビザライン矯正なら当院へ

目立たないマウスピース矯正治療

マウスピース矯正(インビザライン)は、透明で目立ちにくく、痛みが少ないため、ワイヤー矯正に比べ、より快適に矯正治療をすることができます。治療中は、透明なマウスピースを装着し、マウスピースの形を少しずつ変えることによって、歯を正しい位置に動かしていきます。

矯正治療をして、歯並びをキレイにしたいけど、周りの人に治療を気付かれたくない人におすすめです。

初回カウンセリング

矯正相談無料

無料カウンセリング
受付しております

池袋駅東口つのり歯科では初回の矯正カウンセリングを無料でおこなっております。

初回無料相談の
ご予約はこちら

カテゴリ「インビザライン矯正」を含む症例

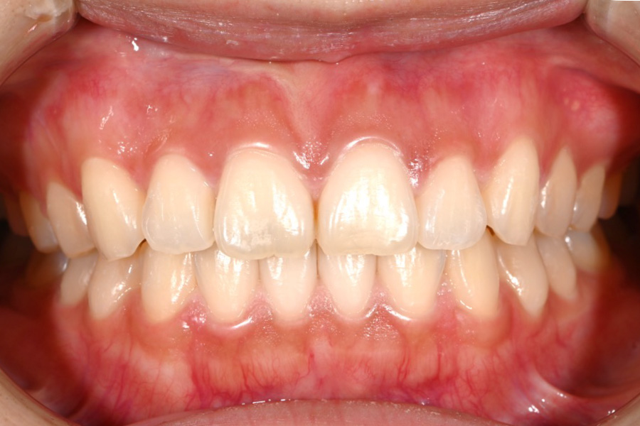
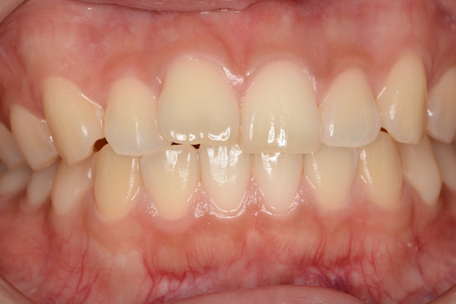
【20代男性】
前歯のガタつきを
インビザライン矯正で治療したケース

主訴
前歯のガタつきが気になる
期間
1年半
費用
220,000円〜660,000円
(デンタルローン 3,100〜6,600円/月)
治療内容
インビザライン矯正
非抜歯
治療に伴うリスク
矯正終了後は、リテーナーを指示通りに使用し、歯の後戻りを防ぐ必要があります。

【30代男性】
前歯がしっかり噛めないのを
インビザライン矯正で治療したケース

主訴
前歯がしっかり噛めない
期間
1年
費用
220,000円〜660,000円
(デンタルローン 3,100〜6,600円/月)
治療内容
インビザライン矯正
非抜歯
治療に伴うリスク
矯正終了後は、リテーナーを指示通りに使用し、歯の後戻りを防ぐ必要があります。

【30代男性】
上の前歯を揃えたい
【インビザライン矯正】

主訴
上の前歯を揃えたい
期間
1年半
費用
220,000円〜660,000円
(デンタルローン 3,100〜6,600円/月)
治療内容
インビザライン矯正
小臼歯抜歯
治療に伴うリスク
矯正終了後は、リテーナーを指示通りに使用し、歯の後戻りを防ぐ必要があります。

【30代女性】前歯のズレを
インビザライン矯正で治療したケース

主訴
前歯のズレが気になる
期間
8ヶ月
費用
220,000円〜660,000円
(デンタルローン 3,100〜6,600円/月)
治療内容
インビザライン矯正
非抜歯
治療に伴うリスク
矯正終了後は、リテーナーを指示通りに使用し、歯の後戻りを防ぐ必要があります。

【40代女性】
下の歯が見えないのと、
歯の突出感を
インビザライン矯正で治療したケース

主訴
下の歯が見えないのと、突出感が気になる
期間
1年半
費用
220,000円〜660,000円
(デンタルローン 3,100〜6,600円/月)
治療内容
インザライン矯正
非抜歯
治療に伴うリスク
矯正終了後は、リテーナーを指示通りに使用し、歯の後戻りを防ぐ必要があります。

【20代男性】
八重歯を
インビザライン矯正で
治療したケース

主訴
八重歯が気になる
期間
2年
費用
220,000円〜660,000円
(デンタルローン 3,100〜6,600円/月)
治療内容
インザライン矯正
小臼歯抜歯
治療に伴うリスク
矯正終了後は、リテーナーを指示通りに使用し、歯の後戻りを防ぐ必要があります。

【30代男性】
下の歯のガタつきを
インビザライン矯正で治療したケース

主訴
下の歯のガタつきが気になる
期間
1年
費用
220,000円〜660,000円
(デンタルローン 3,100〜6,600円/月)
治療内容
インビザライン矯正
小臼歯抜歯
治療に伴うリスク
矯正終了後は、リテーナーを指示通りに使用し、歯の後戻りを防ぐ必要があります。

【30代女性】
全体のガタつきを
インビザライン矯正で
治療したケース

主訴
全体のガタつきが気になる
期間
2年
費用
220,000円〜660,000円
(デンタルローン 3,100〜6,600円/月)
治療内容
インザライン矯正
小臼歯抜歯
治療に伴うリスク
矯正終了後は、リテーナーを指示通りに使用し、歯の後戻りを防ぐ必要があります。

【30代女性】
歯のガタつきを
インビザライン矯正で
治療したケース

主訴
歯のガタつきが気になる
期間
1年
費用
220,000円〜660,000円
(デンタルローン 3,100〜6,600円/月)
治療内容
インザライン矯正
非抜歯
治療に伴うリスク
矯正終了後は、リテーナーを指示通りに使用し、歯の後戻りを防ぐ必要があります。

【30代男性】
下の歯のガタつきを
インビザライン矯正で
治療したケース

主訴
下の歯のガタつきが気になる
期間
2年
費用
220,000円〜660,000円
(デンタルローン 3,100〜6,600円/月)
治療内容
インザライン矯正
非抜歯
治療に伴うリスク
矯正終了後は、リテーナーを指示通りに使用し、歯の後戻りを防ぐ必要があります。

患者様に合わせた幅広い治療
で大切な歯を守ります。

池袋の歯医者 | 池袋東口つのり歯科

池袋の歯医者なら池袋駅東口つのり歯科へ。
歯周病専門医による重度歯周病治療、インビザライン、セラミック治療、精密根管治療まで幅広く対応いたします。
池袋で歯医者をお探しならお気軽にご相談ください。

  • 駅近の歯医者
  • 各種保険診療対応
  • 土曜診療
  • 急患対応

池袋で歯医者をお探しの方
ご予約・ご相談はお気軽にどうぞ ▼

WEB予約