当院で治療できる
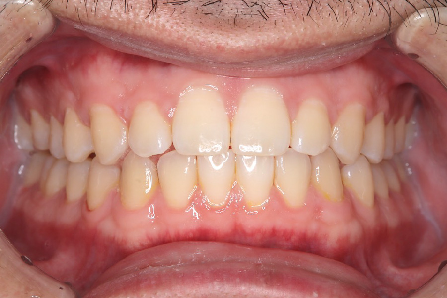
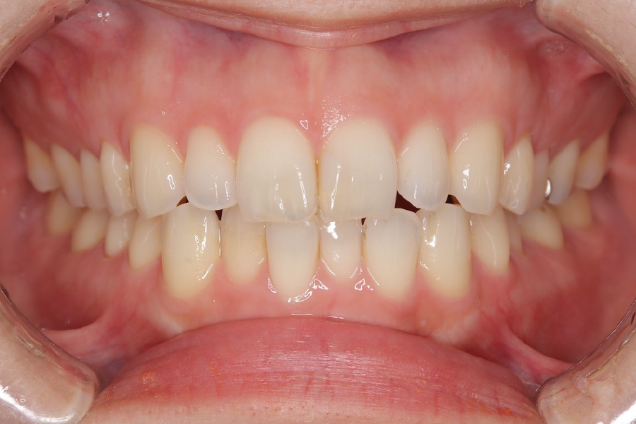
歯並びについて
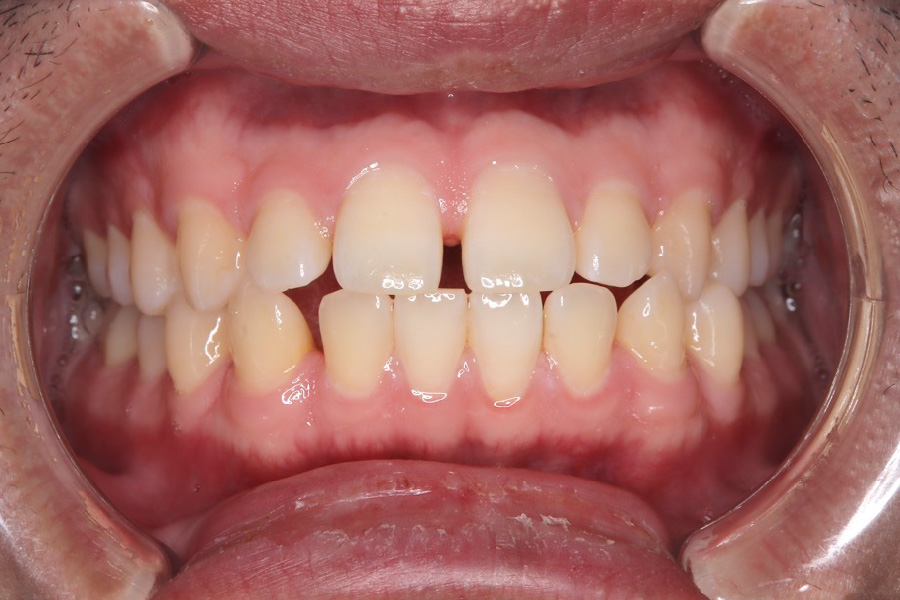
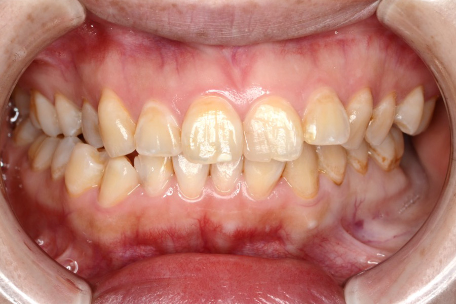
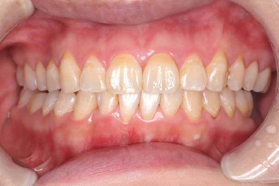
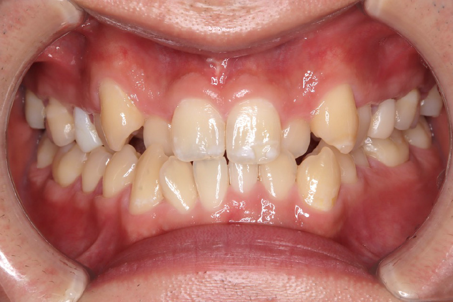
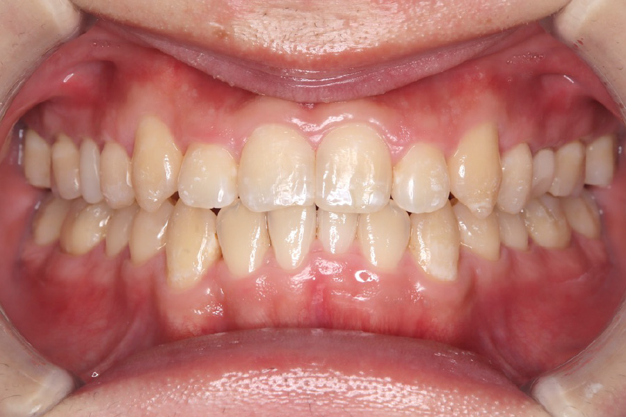
「すきっ歯」を詳しく見る
「デコボコ(叢生)」を詳しく見る
「開咬(口が閉じない)」を詳しく見る
「上顎前突(出っ歯)」を詳しく見る
「反対咬合(受け口)」を詳しく見る
池袋の矯正歯科
矯正歯科で大切なこと
歯列矯正を検討される方の大半は、見た目が綺麗になることを望まれています。しかし、池袋の歯医者つのり歯科では見た目の改善だけでなく、かみ合わせを重視しております。
矯正歯科のメリット
顔全体の
コンプレックスが解消
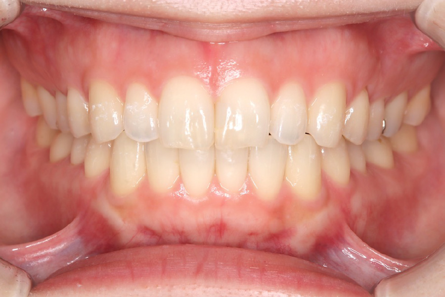
歯並びが綺麗になると口元が引き締まり、笑顔に自信が持てるようになります。
噛み合わせを改善します
噛み合わせが悪いままだと、肩こりや頭痛、姿勢が悪くなるリスクがあります。
歯を長持ちさせることができます
歯並びが悪いと、歯磨きができないところができるため、虫歯や歯周病のリスクがあがります。
子供の矯正と大人の矯正
子供の矯正歯科
お子様の乳歯や生え替わったばかりの永久歯を見て、歯並びの乱れに悩まされている親御さんはたくさんいらっしゃいます。
子どもの歯列矯正を始めるのに最適なタイミングは、お子様の矯正は永久歯が生え揃う前の小学校1年生くらいが治療を開始するベストタイミングだといわれています。
また、矯正治療を開始する時期はケースによって異なるため、6歳臼歯が萌出した段階で、お子様のお口に不安がある親御さんは、まずはお気軽にご相談ください。
大人の矯正
歯科矯正治療は子どもが受けるイメージがあるかもしれません。しかし大人になってからでも始められ、きれいな歯並びを得ることができます。
大人の矯正歯科治療の治療方針は外見のバランスや骨格的なズレ、咬み合わせのズレ、凸凹の程度、歯周組織の状態などを総合的に判断して決定します。
その結果、大人の矯正歯科治療では歯の本数を減らして並べることがあります。これは骨の大きさと歯の大きさの不調和があるためで、この場合は、歯の器となる骨の大きさに合わせて歯の本数を減らします。
歯周組織や歯の状態に不安のある方も、歯周組織に優しい治療方針を立てることが出来ます。まずはお気軽にご相談ください。
歯並び矯正の種類
ワイヤー矯正
ブラケットと呼ばれる装置を歯の表面につけて、それにワイヤーを通して歯を少しずつ動かしてきます。
メリット
- ほぼすべての症例に適応できる
デメリット
- ワイヤーが目立つ
- 歯磨きがしにくいため、虫歯になるリスクが高い
- 調整後は痛みが強い
- 治療期間が長い
舌側矯正
歯の裏側にブラケットをつけて矯正を行います。
メリット
- 装置が目立ちにくい
デメリット
- 治療費が高くなりやすい
- 口の中の違和感が強く、慣れが必要です
- 歯の動く速度が遅い傾向があります
- 治療期間が長い
- 痛みが強い
マウスピース矯正(インビザライン)はそんな問題を
すべて解決できます。
マウスピース矯正の中でも、当院で使用しているインビザラインは、お一人お一人に合わせた完全オーダーメイドの矯正装置を1週間から2週間毎に交換しながら、少しずつ理想的な歯の位置に動かしてきます。マウスピース矯正の中でも一番信頼できるブランドです。
マウスピース矯正
(インビザライン)の特徴
- 目立たない
- ワイヤーと比較して、装置の煩わしさが少ないです
- 世界中で一番利用されているマウスピース矯正
- 2021年地点で世界の1000万人以上利用
- 他のマウスピース矯正より圧倒的症例数、実績数
当院のマウスピース矯正
選ばれているのには
理由があります
東京最安66万円
枚数や治療回数無制限で治療が可能です。結局ふたを開けてみたら、当初よりも高くついたということがありません。
部分矯正対応
前歯の歯並びだけ治したいなどの部分的なマウスピース矯正も22万円から可能です。
抜かない矯正
患者様の歯並びによって歯を抜かずに問題ないケースがございます。抜かない矯正には限界がありますので、一度ご相談ください。
歯並びのお悩みは
当院へご相談ください
患者さんのご希望を
しっかりと伺います
歯並びの矯正をしたいけれど、色々な不安があり決心できない方も多くいらっしゃるかと思います。池袋駅東口つのり歯科では少しでも多くの患者様のお悩みを解決したいという思いから、66万円でインビザラインを提供しております。
更に矯正期間、マウスピースの枚数なども無制限でご提供しておりますので安心して最後まで治療いただけます。
診療メニュー
幅広い診療に対応
一人ひとりの患者様に時間をかけて親身に診療。
安心・安全・痛くない。丁寧に納得のいく説明。
池袋駅東⼝徒歩1分の⻭医者【保険診療・急患対応】
お支払い方法について
初診料:保険適用・約3,000円〜4,000円
※お支払いは基本的には現金のみになります。
初診時には3,000円弱かかりますので現金を
ご持参のうえご来院ください。



















